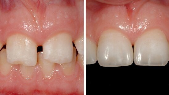
LEIPZIG – Die Verbesserung der Mundgesundheit der gesamten Bevölkerung sowie deren wachsende Besorgnis um die Zahnästhetik hat die direkte Kompositrestauration zu einer grundlegenden Behandlungsmöglichkeit gemacht. In einem vom DT Study Club präsentierten kostenfreien Webinar werden am 18. Dezember ästhetische Lösungen vorgestellt, die moderne Kompositkunststoffe bieten.
Moderne Kompositkunststoffe bieten aufgrund des gewaltigen Fortschritts in ihren optischen Eigenschaften und Anwendungstechniken hervorragende ästhetische Resultate und biologisch vernünftige Optionen bei Problemen, die einst nur mit kostenintensiven und invasiven Restaurationen behandelt werden konnten. Darüber hinaus sorgen Kompositkunststoffe dafür, dass sich die ästhetischen Wünsche vieler junger Patienten mit ultrakonservativen, oft unvorbereiteten restaurativen und ästhetischen Lösungen erfüllen lassen. Ihr einzig verbleibender Nachteil ist praktisch die notwendige Erfahrung der praktizierenden Ärzte und die notwendige Kenntnis ihres umfangreichen ästhetischen Potentials.
Das etwa einstündige Webinar wird die rationale Behandlung und Integration minimalinvasiver Komposittechniken in einer umfassenden Herangehensweise im Hinblick auf das Design eines Lächelns und die zahnmedizinische Ästhetik thematisieren. Eine detaillierte Beschreibung der klinischen Verfahren mit umfangreicher Dokumentation wird den Vortrag abrunden und den Teilnehmern ein Gesamtbild über das Thema verschaffen.
Das Webinar mit dem Titel „Ultrakonservatives Lächeln und ästhetische Restaurationen: Indikationen, Grenzen und klinische Verfahren“ wird am Mittwoch, 18. Dezember, ab 17 Uhr im Internet übertragen. Die kostenfreie Anmeldung ist ab sofort auf der Internetseite des DT Study Clubs möglich. Alle Teilnehmer haben die Möglichkeit einen Fortbildungspunkt zu erhalten. Dafür füllen sie im Anschluss an den Vortrag online einen Multiple-Choice-Fragebogen zur behandelten Thematik aus.
FRANKFURT AM MAIN – Ob steigendes Gesundheitsbewusstsein, zunehmende Ökonomisierung oder demografischer Wandel: Die Zeit bringt ...
Bei Schäden an den Zähnen, egal ob kariesbedingt oder nicht, ist der Gang zum Zahnarzt unausweichlich. Im Idealfall findet sich der geplagte Patient dann ...
LEIPZIG – Um minimalinvasive Auflagerungsosteomie in der Stollentechnik geht es am 6. März in einem gleichnamigen Webinar des DT Study Clubs. ...
LEIPZIG – Wussten Sie, dass 75 Prozent Ihrer Patienten von einem schöneren Lächeln profitieren könnten? Wie Zahnmediziner mit ...
BAD HOMBURG – Zum Auftakt der diesjährigen Internationalen Dental-Schau (IDS) in Köln stellte als einer der ersten Global Player das Unternehmen GC ...
KÖLN – Auf der ersten IDS-Pressekonferenz nach dem Zusammenschluss mit dem Liechtensteiner Dentalunternehmen Ivoclar Vivadent hat Wieland Dental ...
BERLIN - KZBV und BZÄK haben mit den KZVen ein gemeinsames Maßnahmenpaket vorgestellt, mit dem auch in Zeiten zunehmender Ausbreitung von COVID-19 die ...
HOF – Ein Zahnarzt aus dem fränkischen Hof hat eine dentale Erste-Hilfe-Box entwickelt, die es Menschen ermöglichen soll, sich nach einem ...
BERLIN/LEIPZIG – Wie viele Deutsche gehen regelmäßig zum Zahnarzt? Welche Bevölkerungsgruppen scheuen diese Untersuchung besonders? ...
Tuttlingen – Sterify Gel ist ein Medizinprodukt der Klasse III, ein mukoadhäsives Polymer-Hydrogel, das in einer vorgefüllten Spritze bereitgestellt ...
Live-Webinar
Do. 14. Mai 2026
18:00 Uhr CET (Berlin)
Live-Webinar
Do. 14. Mai 2026
20:00 Uhr CET (Berlin)
Prof. Hani Ounsi DDS PhD FICD
Live-Webinar
Di. 19. Mai 2026
17:00 Uhr CET (Berlin)
Live-Webinar
Di. 19. Mai 2026
19:00 Uhr CET (Berlin)
Prof. Dr. med. dent. Ivo Krejci
Live-Webinar
Mi. 20. Mai 2026
13:00 Uhr CET (Berlin)
Dr. Graham Carmichael BDSc (Hons), DClinDent (Pros), FRACDS, Dr. Robert Gottlander DDS
Live-Webinar
Mi. 20. Mai 2026
15:00 Uhr CET (Berlin)
Live-Webinar
Mi. 20. Mai 2026
17:00 Uhr CET (Berlin)
To post a reply please login or register