KÖLN - Der BDIZ EDI, Initiator von Verfassungsbeschwerde und GOZ-Kompendium, gibt am 9. Februar 2013 in Köln rechtssichere Ratschläge für Zahnärzte und Praxismitarbeiter zu den Themen GOZ, Dokumentation und Patientenrechte. Da halbtägige Seminar findet im Vorfeld des 8. Experten Symposiums statt.
Deutschlands Zahnärzte kämpfen seit fast einem Jahr mit der neuen Gebührenordnung. Der BDIZ EDI wird am Samstag, 9. Februar 2013, ein halbtägiges Seminar veranstalten, das mehr als ein Update zum Umgang mit der GOZ 2012 liefern will. Wissen aus erster Hand zu den Themen GOZ, Dokumentation und Patientenrechte heißt die Devise. Wie lässt sich die GOZ optimal nutzen, wie lassen sich Dokumentation und Patientenrechte rechtssicher bewältigen? Diese und mehr Fragen will das Halbtagesseminar des BDIZ EDI „Wissen aus erster Hand“ behandeln und dazu die Antworten liefern.
Welche Erfahrungen gibt es bisher mit der GOZ? Welche Leistungskürzungen sind häufig und wie können diese widerlegt werden? Auf welche Urteile kann man sich weiterhin verlassen? Welche Änderungen gibt es im Allgemeinen Teil der GOZ? Welche Leistungspositionen wurden verändert? Darüber hinaus will das Seminar die Fragen nach den Anforderungen zur Dokumentation beantworten. Was ändert sich durch das Patientenrechtegesetz, das am 1. Januar 2013 in Kraft tritt? Welche Handlungsoptionen hat die Zahnarztpraxis in Zukunft?
Natürlich stehen die wichtigsten Entscheidungen zu allen Disziplinen der Zahnheilkunde im Mittelpunkt der Veranstaltung. Der BDIZ EDI bietet dieses Seminar für alle Zahnärzte/innen an, es richtet sich also nicht ausschließlich an die implantologisch tätigen Zahnärzte/innen. Die beiden Referenten, Christian Berger und Prof. Dr. Thomas Ratajczak, werden aus Sicht des Praxisinhabers bzw. aus juristischer Sicht über den Umgang mit Leistungskürzungen durch die Kostenerstatter, über Analogberechnungen in der neuen GOZ sprechen und mit den Teilnehmern diskutieren. Berger wird konkrete Beispiele zur Abrechnung aus den Bereichen Prophylaxe, Kons., Prothetik, Parodontologie, Chirurgie und natürlich Implantologie erörtern.
Das Seminar findet am Samstag, 9. Februar 2013, 13 bis 18 Uhr, im Hotel Dorint am Heumarkt in Köln, im Vorgriff auf das 8. Experten Symposium des BDIZ EDI statt, das am 10. Februar 2013 das Thema „Eigenknochen vs. Alternativen“ behandeln wird. Kosten für Mitglieder für das „Wissen“-Seminar: 180 Euro; Nichtmitglieder zahlen 280 Euro. Natürlich sind auch die Abrechnungsmitarbeiterinnen willkommen. Sie zahlen im Team (gemeinsam mit dem Zahnarzt) die Hälfte.
Mehr Information und die Anmeldung unter www.bdizedi.org > Events > Wissen aus erster Hand.
LEIPZIG - Der Einsatz von Blutkonzentraten in der Regenerativen und Allgemeinen Zahnheilkunde steht im Fokus des unter der wissenschaftliche Leitung von ...
BRÜSSEL - Nach 2006 reiste der BDIZ EDI in Europa erneut mit einer kleinen Delegation aus Repräsentanten der assoziierten ...
LEIPZIG - Der Einsatz von Blutkonzentraten in der Regenerativen und Allgemeinen Zahnheilkunde steht im Fokus des unter der wissenschaftlichen Leitung von ...
FRANKFURT AM MAIN - Der Einsatz von Blutkonzentraten in der Regenerativen und Allgemeinen Zahnheilkunde steht im Fokus des unter der wissenschaftlichen ...
BONN – Auf Basis eines Arbeitspapiers der Universität Köln liefert die 11. Europäische Konsensuskonferenz (EuCC) unter ...
MÜNCHEN - Die Gutachterkonferenz Implantologie des BDIZ EDI im Auftrag der Konsensuskonferenz Implantologie behandelt in diesem Jahr das Thema ...
LEIPZIG – Mit dem Wunsch vieler Patienten nach festsitzenden, Implantat-getragenen Zahnersatz-Lösungen geht die Frage einher, wie der Zeitraum ...
KÖLN - Die 8. Europäische Konsensuskonferenz des BDIZ EDI hat am 9. Februar 2013 in Köln die Therapieverfahren der oralen Augmentation von ...
BONN - Der Bundesverband der implantologisch tätigen Zahnärzte in Europa (BDIZ EDI) setzt sein bewährtes Konzept, Fortbildungskurse im ...
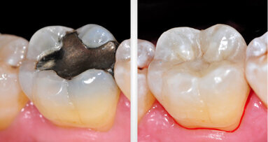
In dem Bestreben, die Schichttechnik vor allem im Seitenzahnbereich zu vereinfachen, haben Hersteller von Kompositen in den letzten Jahren die ...
Live-Webinar
Mi. 22. April 2026
14:00 Uhr CET (Berlin)
Live-Webinar
Mi. 22. April 2026
17:00 Uhr CET (Berlin)
MDT Andreas Chatzimpatzakis
Live-Webinar
Mi. 22. April 2026
17:00 Uhr CET (Berlin)
Live-Webinar
Mi. 22. April 2026
18:00 Uhr CET (Berlin)
Live-Webinar
Do. 23. April 2026
16:00 Uhr CET (Berlin)
Live-Webinar
Do. 23. April 2026
17:00 Uhr CET (Berlin)
Live-Webinar
Do. 23. April 2026
18:30 Uhr CET (Berlin)
To post a reply please login or register