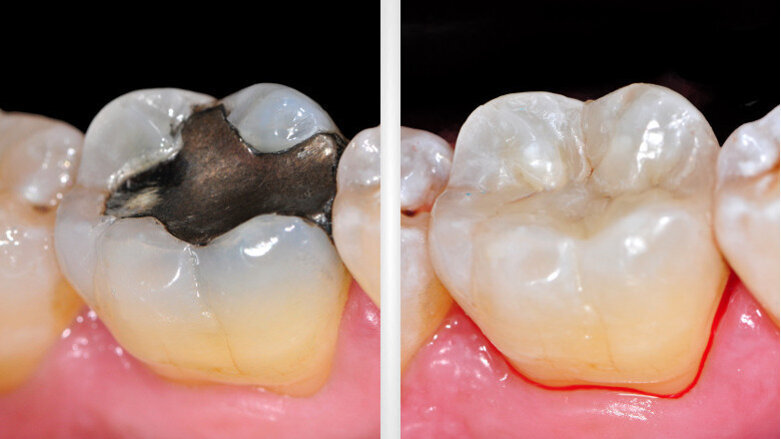
In dem Bestreben, die Schichttechnik vor allem im Seitenzahnbereich zu vereinfachen, haben Hersteller von Kompositen in den letzten Jahren die verschiedensten Wege eingeschlagen. In einem bevorstehenden Webinar, welches am 26. November live übertragen wird, zeigt Wolfgang-M. Boer die Möglichkeiten chromoadaptiver Komposite im Seitenzahnbereich auf.
Ein Lösungsansatz für ästhetische Versorgungen ist beispielsweise die Reduktion des Angebots auf die häufigsten Farben oder die Einstellung der Transluzenz des Materials auf eine mittlere Stufe, um die Schichtung von separaten Schmelz- und Dentinmassen zu umgehen. Bulk-Fill-Komposite in den verschiedensten Darreichungsformen als Dentinersatz gehören heute zum Standard. Neu ist dagegen die Eigenschaft, dass das Material durch die Polymerisation opaker wird. Besonders japanische Hersteller setzen auf die Vereinfachung der okklusalen Gestaltung durch standfeste Flow-Konsistenzen, bei gleichzeitig gewohnt gutem Anfließverhalten an den Kavitätenwänden.
Einen radikal neuen Ansatz bieten laut Boer chromoadaptive Komposite. „Durch spezielle Füller nehmen sie die Farbe der Umgebung auf und reflektieren diese. Sie enthalten also nicht, wie sonst üblich, Farbpigmente, sondern adaptieren die Farbe des natürlichen Zahns,“ erklärte der Zahnarzt, der seit über 26 Jahren eine eigene Praxis führt.
Der erste Vertreter in der Gruppe chromoadaptiver Komposite war OMNICHROMA der Firma Tokuyama, welches seit Anfang 2019 auf dem Markt verfügbar ist. Seit September hat Kulzer Dental mit Venus Diamond ONE und Venus Pearl ONE nachgezogen. Unterschiede bestehen vor allem in der Modellierbarkeit der Materialien. Das faszinierende an chromoadaptiven Kompositen ist neben der reduzierten Lagerhaltung (eine Masse für alle Farben) die Einfachheit der Anwendung ohne vorherige Farbauswahl. Dabei ist Venus ONE nicht etwas völlig Neues, sondern ein ausgereiftes, verlässliches und lange erprobtes Material.
Das Webinar „Chromoadaptive Kompositmaterialien – Effizienter Einsatz im Praxisalltag“, wird am 26. November ab 17 Uhr live im Internet übertragen. Alle Teilnehmenden haben die Möglichkeit, während der Übertragung per Chat Fragen an den Referenten zu stellen. Registrieren Sie sich jetzt kostenfrei für das Webinar auf der Seite des DT Study Club.
Schlagwörter:
LEIPZIG - Der Einsatz von Blutkonzentraten in der Regenerativen und Allgemeinen Zahnheilkunde steht im Fokus des unter der wissenschaftliche Leitung von ...
LEIPZIG - Der Einsatz von Blutkonzentraten in der Regenerativen und Allgemeinen Zahnheilkunde steht im Fokus des unter der wissenschaftlichen Leitung von ...
FRANKFURT AM MAIN - Der Einsatz von Blutkonzentraten in der Regenerativen und Allgemeinen Zahnheilkunde steht im Fokus des unter der wissenschaftlichen ...
LEIPZIG – Mit dem Wunsch vieler Patienten nach festsitzenden, Implantat-getragenen Zahnersatz-Lösungen geht die Frage einher, wie der Zeitraum ...
Vier in einem Endo-Pilot - das neue All-in-One-Gerätekonzept von Schlumbohm.
KÖLN - Der BDIZ EDI, Initiator von Verfassungsbeschwerde und GOZ-Kompendium, gibt am 9. Februar 2013 in Köln rechtssichere Ratschläge für ...
Prof. Dr. Dr. Albert Mehl leitet die Station für computergestützte Zahnheilkunde am Zentrum für Zahn-, Mund- und Kieferheilkunde an der ...
LEIPZIG – Zahnaufhellungen sind am 15. Mai Thema eines vom DT Study Club präsentierten Webinars. Der einstündige Vortrag mit dem Titel ...
FREIBURG - Die zahnärztliche Fotografie ist heute fester Bestandteil einer vollständigen Behandlungsdokumentation. Durch die Umstellung von analog...
Für eine hochqualitative, ästhetische und effiziente Füllungstherapie bietet Ivoclar Vivadent Ihnen ideal aufeinander abgestimmte Produkte, die Sie nun ...
Live-Webinar
Di. 12. Mai 2026
19:00 Uhr CET (Berlin)
Live-Webinar
Do. 14. Mai 2026
18:00 Uhr CET (Berlin)
Live-Webinar
Do. 14. Mai 2026
20:00 Uhr CET (Berlin)
Prof. Hani Ounsi DDS PhD FICD
Live-Webinar
Di. 19. Mai 2026
17:00 Uhr CET (Berlin)
Live-Webinar
Di. 19. Mai 2026
19:00 Uhr CET (Berlin)
Prof. Dr. med. dent. Ivo Krejci
Live-Webinar
Mi. 20. Mai 2026
13:00 Uhr CET (Berlin)
Dr. Graham Carmichael BDSc (Hons), DClinDent (Pros), FRACDS, Dr. Robert Gottlander DDS
Live-Webinar
Mi. 20. Mai 2026
15:00 Uhr CET (Berlin)
To post a reply please login or register