MANNHEIM - Patienten, die unter craniomandibulärer Dysfunktion leiden, haben oft einen hohen Leidensdruck funktioneller Art, ästhetische Fragestellungen stehen dabei meist vollständig im Hintergrund. Die Diagnostik und das rechtzeitige Erkennen einer craniomandibulären Dysfunktion (CMD) stellt immer noch eine große Herausforderung dar, da zum einen sich die meist unspezifischen Symptome wie Kopfschmerz, HWS Symptomatik, Schwindel, Tinnitus und v.a.m. sich nicht ohne Weiteres dentalen Gegebenheiten zuordnen lassen und weil diese Patientengruppe auf ihren Behandlungswegen zunächst zu Orthopäden, HNO-Fachärzten oder Internisten gehen und nicht zum Zahnarzt.
So werden kausale zahnärztliche funktionsverbessernde Therapien oft erst verspätet eingeleitet, die Schmerzmuster sind im Zentralnervensystem wie auf einer Festplatte oft nach wenigen Monaten schon eingebrannt. Ist ein solches Schmerzgedächtnis sowie zusätzliche psychosomatische Manifestationen vorhanden, dann ist es oftmals unmöglich, nur mittels zahnärztlicher Maßnahmen dauerhaft eine Beschwerdefreiheit zu erreichen.
embedImagecenter("Imagecenter_1_213",213, "large");
Die Okklusion ist nach Christiansen nur einer der auslösenden bzw. unterhaltenden Faktoren (siehe Abbildung 1), allerdings gibt es eine große Gruppe sog. „okklusionsempfindlicher Patienten“, deren stomatognathes Gleichgewicht schon sehr labil ist oder auch durch zusätzlichen Stress oder zahnärztliche Maßnahmen okklusionsempfindlich wird.
Insofern stellt das frühzeitige Erkennen und Therapieren einer dysfunktionellen Entwicklung im stomatognathen System mit das wichtigste Erfolgskriterium für eine Refunktionalisierung dar. Alleine in Deutschland wird die Zahl der Patienten mit Funktionsstörungen auf ca. 8 Millionen geschätzt, die Tendenz ist steigend. In über 80% der Fälle sind Frauen zwischen 25 und 50 Jahren betroffen, aber auch Kinder insbesondere nach kieferorthopädischen Behandlungen können zeitversetzt schon Symptome einer CMD ausbilden. Die craniomandibuläre Dysfunktion hat das Potenzial, neben der Karies und Parodontitis eine neue Volkskrankheit zu werden. Anhand des hier vorgestellten Patientenfalles soll ein praxisnahes Therapiekonzept vorgestellt werden, wie CMD Patienten erfolgreich und kausal behandelt werden können. Der Behandlungsfall ist auch auf der Homepage der Zahnmedizinischen Klinik am Wasserturm Mannheim ZKW unter http://www.private-zahnklinik.com/de/patienten-information/presse/video. html (Video 3 RNF) als Video zu sehen.
Diese Patientin stellte sich 2007 erstmals in unserer Klinik vor. Sie berichtete anamnestisch, dass sie seit vier Jahren unter heftigsten Schmerzen litt sowie in den letzten beiden Jahren massiv Psychopharmaka und Morphinderivate nehmen müsse, um ihr Leben einigermaßen meistern zu können. Aufgetreten wären die Schmerzen erstmalig nachts, nachdem der Zahn 16 „eine andere Füllung bekommen hätte“. Die Schmerzen strahlten in den ganzen rechten Oberkiefer aus, es wurden daraufhin von verschiedenen Behandlern und Kliniken erfolglos Wurzelbehandlungen, Wurzelresektionen an den Zähnen 15, 16, 17 durchgeführt und schließlich die Zähne 17 und 16 entfernt. Daraufhin wurden die Beschwerden immer stärker, die schmerztherapeutisch verordnete Analgetikazufuhr wuchs stetig an. Von verschiedenen Kliniken für MKG-Chirurgie wurde als Ursache der Schmerzen die skelettale Dysgnathie gesehen und entsprechende umfangreiche kieferchirurgische Korrektureingriffe vorgeschlagen, die allerdings von der Patientin abgelehnt wurden.
Alle bisherigen konventionellen Therapieansätze über manuelle Therapie, neurologische Schmerztherapie oder Psychotherapie hatten keinerlei Einfluss auf das Schmerzgeschehen.
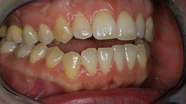
Die Patientin zeigte am Tage der Erstvorstellung in unserer Klinik einen kongenitalen und zirkulär offenen Biss mit dezenter Progenie sowie gleichzeitiger Laterodysgnatie nach rechts. Die Kaumuskulatur war extrem druckdolent, die Mundöffnung eingeschränkt (Abb. 2–5). Zunächst einmal stand die Schmerzbeseitigung oder -reduktion im Vordergrund der therapeutischen Bemühungen. Nach Erstellen funktionsanalytischer Modelle und einem ersten „bestmöglichen Zentrikregistrat wurde eine gelenkelektronische Analyse durchgeführt. Es zeigte sich lediglich eine dezente rechtslaterale Verschiebung der Mandibel um 0,2mm. Insbesondere konnte festgestellt werden, dass über die Pars posterior des M. temporalis beidseits eine Schmerzprojektion in die Oberkieferseitenzahnsegmente erfolgte (Abb. 6).
Nach den Gelenkbahnwerten der Zebris® Analyse wurde eine Michiganschiene im Oberkiefer mit Front-Eckzahnführung hergestellt, die 24 Stunden pro Tag getragen wurde und schon innerhalb von wenigen Tagen zu einer deutlichen Beschwerdereduktion führten. Die Schienenposition wurde regelmäßig gelenkelektronisch überprüft (Abb.7). Die besondere Herausforderung stellte sich nach der Initialtherapie in der dauerhaften ästhetisch-funktionellen Rekonstruktion der Patientin. In einer zweiten Phase, in der die Dauerschiene weiterhin getragen wurde, wurden parallel dazu die verlorenen Stützzonen im ersten und zweiten Quadranten mittels Implantationen mit rechtsseitigem Sinuslift wieder aufgebaut, um eine langfristige kondyläre Stabilität erreichen zu können. Zum anderen wurde geprüft, ob es prinzipiell möglich wäre, in diese massiv dysgnathe Anatomie die zu einem regelrechten Funktionieren des stomatognathen Systems notwendigen dentalen Determinanten möglichst nichtinvasiv einbauen zu können (z.B. Front-Eckzahn- Führung, harmonische Kompensationskurven, suffiziente Okklusalmorphologie bspw. nach G. Siebert, etc.).
Hierzu wurden zunächst die funktionsanalytischen Modelle doubliert und wieder nach den geprüften Werten einartikuliert (Abb. 8). Es wurde nun ein Wax-up durchgeführt und aufgrund dieser Informationen für den Ober- und Unterkiefer Mock-ups hergestellt, die provisorisch einzementiert und „probegetragen wurden“ (Abb. 9a–d).
Es konnte mittels der Mock-up Technik gezeigt werden, dass die dysgnathen Verhältnisse mittels funktioneller Aufwachs-Technik und ohne massive kieferchirurgische Interventionen (z.B. Unterkieferrückverlagerung nach Obwegeser – Dal Pont, sagittale Stufenosteotomie im Unterkieferfrontbereich mit Extraktion 31 und 41 und Le Fort I Down-Fraktur des anterioren Oberkiefersegmentes) ausgeglichen werden konnten. Ebenso konnte eine suffiziente Front-Eckzahn-Führung erreicht werden, welches neben der festen implantatgestützten Kondylenabstützung mit die wichtigste Voraussetzung des Behandlungserfolges war. Nach Auswertung des Wax-ups wurden aus Gründen der Substanzschonung im Ober- und Unterkiefer von 14 bis 24 sowie von 34 bis 44 sog. „Non-Prep-Veneers“ durchgeführt. Die balancefreie okklusale Verzahnung im Seitenzahnbereich wurde mittels okklusaler Keramikinlays erreicht, die Implantate wurden mit einzelnen l-Kronen versorgt. Es wurde nach G. Siebert besonderer Wert darauf gelegt, dass die Front- Eckzahn-Führung streng eingestellt wurde und dass pro Seitenzahn lediglich ein zentraler Arbeitskontakt vorlag. Im Schlussbiss wurde anterior von 12 bis 22 eine Nonokklusion von 30 µm umgesetzt (Abb. 10–14).
Diskussion
Patienten erwarten von ihrem Zahnersatz, dass er gleichzeitig funktioniert und auch ästhetsich ansprechend ist. Im oben genannten Behandlungsfall waren die Ausgangsvoraussetzungen für beide Ziele besonders schlecht, der Anspruch der Patientin an eine ästhetische Versorgung zunächst aber auch gleichsam null. Es geschieht häufig, dass Patienten mit einer derart langen Schmerzanamnese gerne in den psychosomatischen Bereich als „Koryphäenkiller“ abgeschoben und abgestempelt werden. Die Grenze zwischen „noch oder noch nicht psychosomatisch“ ist für den Zahnarzt oft schwer zu ziehen, eine diesbezügliche Fehlentscheidung kann den Behandler allerdings sehr teuer zu stehen kommen.
Hilfreich erweist sich hier die Beachtung des Diagnoseschemas nach Wolowski 2009:
Diagnostische Hinweise auf eine psychosomatische Störung
- diffuse und eher vage Beschwerdedarstellung
- trotz längerer Beschwerdedauer drängt Patient auf Akutbehandlung
- Beschwerden sind (somatisch) nicht hinreichend erklärbar
- keine typische Ausbreitung der Symptomatik
- kein typischer Verlauf
- Chronifizierungstendenz
- beschwerdezentrierte Lebensführung
- (absolut) keine Akzeptanz für psychosomatische Erklärungsmodelle
- Ablehnung der Ewigenverantwortung für den
Genesungsprozess belastende Lebenssituationen zu Beginn oder während der Behandlung. Problematisch ist auch die Ausprägung eines Schmerzgedächtnisses, welches einen reibungslosen Behandlungsverlauf gleichsam verhindern kann. In unserem vorgestellten Falll konnte die Patientin, die selbst fast nicht mehr an eine Heilung glaubte, mit einem erprobten praxisnahen Funktionskonzept wieder „in die Normalität umgedreht werden“, die Morphinpräparate sowie das Amitryptilin konnten langsam ausgeschlichen werden. Die Patientin, die fast 30 Jahre völlig beschwerdefrei mit ihrer Dysgnathie lebte und für sich selbst keine ästhetischen Probleme sah, wusste nicht, wie instabil ihr neuromuskuläres stomatognathes Gleichgewicht war. Ein einzelner falscher Zahnkontakt (Zahn 16) hatte quasi „über Nacht“ eine Schmerzlawine ausgelöst, welche das gesamte System zum Kippen brachte und eine jahrelange Schmerzodyssee auslöste. Werden bei solchen Schmerzpatienten umfangreiche Dysgnathie-Operationen durchgeführt, so kann sich das Schmerzbild noch verschlechtern, da diese Umstellungsosteotomien oft nicht zu einer okklusalen Feinjustierung führen, die allerdings bei okklusionsempfindlichen Patienten benötigt wird. Im Gegenteil, die Muskelansätze und Hebelarme können dabei so verändert werden, dass ein muskuläres Gleichgewicht später oft nicht mehr möglich ist. Insofern war es für uns ausschlaggebend, eine möglichst wenig invasive Therapie zu entwickeln, die einen bestmöglichen Aufwand-Nutzen-Effekt für den Patienten inklusive eines vernünftigen Zeitaufwandes für die Therapie mit sich bringen würde. Mittels ästhetisch- funktioneller Mock-ups konnten wir unser nichtinvasives Konzept in vivo verifizieren und validieren. Es war so möglich, eine suffiziente Okklusion mit Front-Eckzahn-Führung zu simulieren und einfach „auszuprobieren“. Die ästhetische Verbesserung der Ausgangssituation gleichsam als „Abfallprodukt“ der funktionellen Behandlung konnte minimalinvasiv erreicht werden. Weniger ist manchmal mehr, quod erat demonstrandum!
(Erschienen in der Cosmetic Dentistry 01/2010, Oemus Media AG)
LEIPZIG – Laute Bohrergeräusche, komische Gerüche und vor allem Schmerzen: Besonders negative Erfahrungen münden nicht selten in der ...
SCHAAN - Das Unternehmen Ivoclar Vivadent lädt zum Seminar zum Thema orale Ästhetik nach Budapest ins Congress Center ein. Die Veranstaltung ...
Unter dem Thema „Rot-weiße Ästhetik – Die Königsklasse der Zahnmedizin“ lädt die Deutsche Gesellschaft für ...
WÜRZBURG - Bei Wurzelbehandlungen muss der Zahnarzt zu verschiedenen Materialien greifen. Forscher des Fraunhofer-Instituts für Silicatforschung ...
LINDAU - Vom 14. bis 16. Juni 2012 findet in Lindau der vierte Internationale Kongress für Ästhetische Chirurgie und Kosmetische Zahnmedizin ...
KÖLN - Auf der IDS fand die erste gemeinsame Pressekonferenz der unter der „Sanavis Group“ strategisch zusammengeführten Unternehmen ...
GMÜND AM TEGERNSEE/LEIPZIG – Das Unternehmen Frank Dental lädt zur Fortbildung „Perfect.Smile“ über Veneers und Lumineers ...
München – Wie die „Zeit“ berichtet, nutzen nur wenige gesetzlich Krankenversicherte die elektronische Patientenakte (ePA). „Kein Wunder“, findet ...
Chicago – Wer schon einmal beim Eisessen zusammengezuckt ist, kennt das Problem: Plötzlicher Schmerz, der tief in den Zahn zieht. Die Ursache liegt im ...
Zunehmend steht die Weichgewebeintegration am Implantathals im Fokus wissenschaftlicher Studien.
Live-Webinar
Mi. 15. April 2026
14:00 Uhr CET (Berlin)
Live-Webinar
Mi. 15. April 2026
20:00 Uhr CET (Berlin)
Live-Webinar
Do. 16. April 2026
2:00 Uhr CET (Berlin)
Linda Hecker MS, BSDH, RDH
Live-Webinar
Do. 16. April 2026
18:00 Uhr CET (Berlin)
Dr. Pär-Olov Östman, Dr. Robert Gottlander DDS
Live-Webinar
Fr. 17. April 2026
14:00 Uhr CET (Berlin)
Live-Webinar
Fr. 17. April 2026
18:00 Uhr CET (Berlin)
Live-Webinar
Fr. 17. April 2026
19:00 Uhr CET (Berlin)
Dr. Stuart Yeaton BDentSc, MOrth
To post a reply please login or register