WITTEN/HERDECKE – Valentina Pankratz hat den ersten Preis für die beste Zahnrekonstruktion innerhalb der Länder Deutschland, Österreich und Schweiz gewonnen. Der mit 1.000 Euro dotierte Preis im Ceram-X-Wettbewerb geht zum vierten Mal an die Universität Witten/Herdecke (UW/H). Frau Pankratz wurde zum ersten Mal in einem Internetvoting ausgewählt.
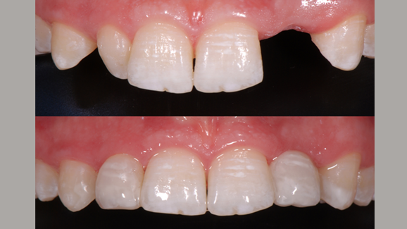
„Wir haben bei einem 14-jährigen Mädchen einen fehlenden Schneidezahn ersetzt“, erklärt ihr Tutor, Oberarzt Dr. Ljubi¹a Markovic, die Ausgangssituation. „Das Besondere dabei ist, dass wir das nicht mit einer konventionellen Brücke getan haben, sondern den Zahn mit glasfaserverstärktem Kunststoff in der Lücke aufgebaut haben. Dadurch mussten die Nachbarzähne, die bei einem Jugendlichen noch einen voluminösen Zahnnerv besitzen, nicht beschliffen werden.“ „Ein Implantat kam in dem Alter auch nicht in Frage, also blieb nur diese Art des Aufbaus“, ergänzt Valentina Pankratz das Behandlungskonzept.
Und so wurde zunächst eine „Aufhängung“ aus Glasfaser für den neuen Zahn errichtet, dann eine Art „Grundgerüst“ per Abformung aus Silikon gefertigt, auf dem dann der neue Zahn in einzelnen Lagen aufgebaut werden konnte. Das Ganze wurde zusätzlich kompliziert, weil die Patientin auf vielen Zähnen einige weiße Flecken, eine Hypomineralisation aufwies und darum die Farbgebung des neuen Zahnes nicht so einfach war. „Außerdem haben wir beide Eckzähne und den Zahn rechts vom mittleren Schneidezahn angeglichen und verbreitert, damit das Zahnbild schön symmetrisch wird“, erläutert Pankratz den Aufwand, der mit fünf Stunden im Behandlungsstuhl für alle anstrengend war.
Jedenfalls scheint es perfekt geklappt zu haben, denn Valentina Pankratz hat nun den Wettbewerb im deutschsprachigen Raum gewonnen. Am 6. Juni hat der Hersteller Dentsply alle nationalen Sieger weltweit zur internationalen Schlussrunde nach Konstanz eingeladen. „Wir drücken unserer Teilnehmerin alle Daumen“, wünscht der Leiter des Departments Zahn-, Mund- und Kieferheilkunde der UW/H, Prof. Dr. Stefan Zimmer. „Ich glaube, dass keine Uni den Preis schon so oft wie wir gewonnen hat. Vielleicht liegt das ja an der besonders praxisorientierten Ausbildung in unserem Studiengang“, vermutet er. Für Valentina Pankratz ist das eher Motivation: „Ich gehe jeden Tag in der Zahnklinik an den Urkunden der bisherigen Sieger vorbei. Wir nennen das scherzhaft unsere ‚hall of fame‘. Und da jetzt auch dazuzugehören, ist schon nett.“
WITTEN/HERDECKE – Marie-Christine Steegmann entscheidet die nationale Ausscheidung für sich
BERLIN – Wie wirkt sich die Wirtschaftskrise auf die Zahnarztpraxen aus? „!dent-trend“ wollte wissen: „Wie war Ihr ...
WITTEN - Mehr Umsatz, Behandlungsspaß und zufriedene Patienten durch hochwertige Zahnmedizin – wie das geht zeigt die Tagung der DGmikro am 27. ...
Eine von drei weltweit akkreditierten Mess-Stationen steht seit April 2012 an der Universität Witten/Herdecke. Speziell angefertigte ...
HAMBURG - Die deutschlandweite Befragung niedergelassener Ärzte und leitender Klinikärzte im Rahmen einer Studie für die Stiftung Gesundheit ...
MÜNCHEN – Mit dem Oral-B-Preis für Kinderzahnheilkunde und Prävention haben am 18. Juni 2009 Prof. Dr. Christian Hirsch, Präsident...
WITTEN - Prof. Andree Piwowarczyk ist neuer Lehrstuhlinhaber für Zahnärztliche Prothetik an der Universität Witten/Herdecke. Seit dem 1. ...
WITTEN/ HERDECKE - Auch in diesem Jahr reisen wieder Studierende nach Myanmar, um mit Kindern in Schulen und Waisenhäusern der Myanmar Foundation ...
WITTEN - Nach Ablauf der Bewerbungsfrist für den zahnmedizinischen Studiengang im WS 2012/13 kann die Uni Witten/Herdecke ein erfreuliches Fazit ...
Nottingham – Der natürliche Zahnschmelz ist das härteste biologische Material im menschlichen Körper. Trotz seiner geringen Dicke von nur wenigen ...
Live-Webinar
Do. 23. April 2026
18:30 Uhr CET (Berlin)
Live-Webinar
Do. 23. April 2026
19:00 Uhr CET (Berlin)
Live-Webinar
Di. 28. April 2026
16:00 Uhr CET (Berlin)
Elke Schilling Dentalhygienikerin, B.A. Medical Care Management
Live-Webinar
Mi. 29. April 2026
14:00 Uhr CET (Berlin)
Live-Webinar
Do. 30. April 2026
1:00 Uhr CET (Berlin)
Dr. Renato Leonardo D.M.D.
Live-Webinar
Do. 30. April 2026
19:00 Uhr CET (Berlin)
Live-Webinar
So. 3. Mai 2026
18:00 Uhr CET (Berlin)
Dr. Rickard Brånemark MSc, MD, PhD, Dr. Robert Gottlander DDS
To post a reply please login or register