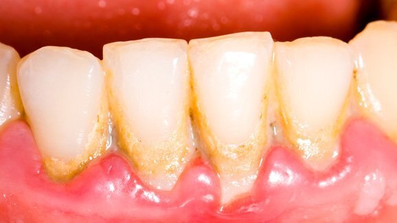
BIRMINGHAM, USA – Amerikanischen Forschern ist es gelungen, ein Molekül zu synthetisieren, das Kariesbakterien daran hindert, hartnäckige Plaque zu bilden. Mit ihren Studienergebnissen sind sie auf dem besten Weg, ein Medikament zu entwickeln, das zur erfolgreichen Kariesprävention beitragen könnte.
Hauptverursacher von Karies ist das Bakterium Streptococcus mutans. Es bildet mithilfe von Enzymen den ungeliebten Biofilm, der hartnäckig an den Zähnen haftet und das Dentin angreift. Besonders drei Enzyme, die Glycolsyltransferasen GtfB, GtfC und GtfD, sind bei der Entstehung beteiligt, wie die Forscher in ihrer Studie herausfanden.
Ziel ihrer Untersuchungen war es, die Wirkung dieser Enzyme zu verhindern, damit die Plaque gar nicht erst entstehen kann. Mithilfe eines synthetisierten Moleküls wollten sie dieses Ziel erreichen. Dazu simulierten sie mithilfe eines Algorithmus in einer Computersimulation die Wirkung auf die drei Glycolsyltransferasen. Über 500.000 Moleküle wurden so getestet.
Am Ende der Testreihe erwies sich das Molekül #G43 am effektivsten bei der Inaktivierung von GftB und GftC. Zusätzlich hat es den Vorteil, dass es S. mutans selbst weder in Wachstum noch Lebensfähigkeit sowie die restliche Mundflora beeinflusst.
Im Tierversuch wurde #G43 auch erfolgreich bei Ratten getestet. Die Tiere erhielten eine spezielle Karies fördernde Diät, zudem wurden sie mit S. mutans infiziert. Gleichzeitig bekamen sie zwei Mal täglich für vier Wochen #G43 verabreicht. Bei der anschließenden Kontrolluntersuchung konnten die Forscher eine signifikante Reduktion der Karies bei den Ratten nachweisen.
Mit ihren Forschungsergebnissen haben die Wissenschaftler der University of Alabama at Birmingham den Weg für ein effizientes Antikaries-Medikament geebnet, das leicht und kostengünstig zu synthetisieren ist sowie bisher keine Nebenwirkungen auf die restliche bakterielle Mundflora aufweist.
Quelle: Scientific Reports
BIRMINGHAM, USA – Amerikanischen Forschern ist es gelungen, ein Molekül zu synthetisieren, das Kariesbakterien daran hindert, hartnäckige Plaque zu ...
HANGZHOU, China – Probiotische Produkte enthalten lebende Mikroorganismen – zumeist sind dies Milchsäurebakterien. Schon lange werden diese Arten von ...
JENA - Beim obstruktiven Schlafapnoesyndrom stören Schnarchen und Atemaussetzer den Schlaf. Als einziges Studienzentrum in Thüringen nimmt die HNO-Klinik ...
BELFAST, Nordirland – Aspirin soll in Zukunft auch als Therapeutikum bei Karies einsetzbar sein. Das ist das Ergebnis einer Studie von Wissenschaftlern ...
OLFEN – Vor 15 Jahren wurde im westfälischen Olfen von ein paar wenigen Menschen rund um Jochen Reidegeld die Aktion Bosco Sevana ...
LONDON – Karies heilt niemals selbst, sobald ein Loch entstanden ist. Wird die Oberfläche der Zahnhartsubstanz durchbrochen, muss die ...
SALEM, USA - White-Spots auf dem Zahnschmelz stellen als unschöne Folge von Zahnspangen, Demineralisierung oder anders verursachtem Zahnschmelzabbau ...
REGENSBURG - Neue Ergebnisse zu Wechselwirkungen zwischen parodontalen und systemischen Erkrankungen haben die European Federation of Periodontology (EFP) ...
Bisher wenig im Fokus stand die Frage, ob Naturheilverfahren einen Beitrag zur Mundgesundheit leisten können. Colgate ist dieser Thematik erstmalig ...
Brasilien – Wenn Bakterien den Weg bis zur Wurzelspitze finden, kommt es oft zu einer chronischen Entzündung. Apikale Parodontitis zählt zu den ...
Live-Webinar
Di. 12. Mai 2026
19:00 Uhr CET (Berlin)
Live-Webinar
Do. 14. Mai 2026
18:00 Uhr CET (Berlin)
Live-Webinar
Do. 14. Mai 2026
20:00 Uhr CET (Berlin)
Prof. Hani Ounsi DDS PhD FICD
Live-Webinar
Di. 19. Mai 2026
17:00 Uhr CET (Berlin)
Live-Webinar
Di. 19. Mai 2026
19:00 Uhr CET (Berlin)
Prof. Dr. med. dent. Ivo Krejci
Live-Webinar
Mi. 20. Mai 2026
13:00 Uhr CET (Berlin)
Dr. Graham Carmichael BDSc (Hons), DClinDent (Pros), FRACDS, Dr. Robert Gottlander DDS
Live-Webinar
Mi. 20. Mai 2026
15:00 Uhr CET (Berlin)
To post a reply please login or register