LEIPZIG – Das wichtige Vitamin B12 (auch Cobalamin genannt) wird hauptsächlich durch tierische Produkte wie Fleisch, Fisch oder auch Milchprodukte aufgenommen. Veganer und Vegetarier weisen deshalb oft einen Mangel auf. Wissenschaftler aus Deutschland und Dänemark haben jetzt herausgefunden, dass mit Vitamin B12 angereicherte Zahnpasta diese Unterversorgung ausgleichen kann.
Für die Studie wurden 76 Veganer untersucht, die über einen Zeitraum von 12 Wochen eine spezielle Zahnpasta benutzten. Während die eine Hälfte die Vitamin-Zahnpasta erhielt, bekam die Kontrollgruppe ein Placebo. Nach der Testreihe konnten bei den Probanden, welche die mit Vitamin B12 angereicherte Paste benutzten, deutliche Verbesserungen des Cobalamin-Wertes im Blut festgestellt werden. Diese Ergebnisse bestätigen, was bereits vorangegangene Studien untersucht haben: Vitamin B12 wird auch über die Mundschleimhaut aufgenommen und verbessert so die Werte. Veröffentlicht wurde die Studie jetzt in der Fachpublikation The American Journal of Clinical Nutrition.
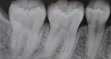
HAMILTON, Kanada – Wie es um die eigene Vitamin-D-Versorgung bestellt ist, lässt sich anhand von Zahnröntgenaufnahmen ablesen, wie kanadische Forscher ...
SEELBACH, Deutschland – Eine aktuelle Studie der Universität von Toronto hat einen Zusammenhang zwischen Vitamin D, Parodontitis und Typ-2-Diabetes ...
Die Stiftung Gesundheit hat den Patienten-Ratgeber "Nie wieder Angst - So lösen Sie Ängste in Minuten" von Dr. Norbert Preetz ...
BERLIN – Zahnpasten schützen in den meisten Fällen gut vor Karies. In einem Test der Stiftung Warentest war das bei 17 von 19 ...
Türkei – Eine klinische Studie hat den Nutzen von Vitamin C in Mundspülungen für die Mundgesundheit untersucht. Das türkische Forscherteam untersuchte...
BERLIN/SALZHEMMENDORF – Ein deutscher Naturkosmetikhersteller hat eine Zahnpasta auf den Markt gebracht, die unter anderem Menschen zugutekommen kann,...
Kanada – Fluorid schützt wirksam vor Zahnkaries, doch weckte es toxikologische Bedenken hinsichtlich seiner Sicherheit Kleinkinder. Ein Forscherteam ...
MAINZ - Mehr Nachhaltigkeit in der Zahnarztpraxis: Dafür sorgt die neue Umweltinitiative der Zahnpflegemarke Colgate und des Umweltunternehmens ...
FRANKFURT AM MAIN - Wer sensible Zähne hat, kann unterstützend zu anderen Maßnahmen eine Zahncreme für empfindliche Zähne ...
KÖLN - Am Dienstagabend trafen sich die Verantwortlichen der Koelnmesse und des Verbands der Deutschen DentalIndustrie sowie Vertreter der Dentalbranche ...
Live-Webinar
Do. 14. Mai 2026
18:00 Uhr CET (Berlin)
Live-Webinar
Do. 14. Mai 2026
20:00 Uhr CET (Berlin)
Prof. Hani Ounsi DDS PhD FICD
Live-Webinar
Di. 19. Mai 2026
17:00 Uhr CET (Berlin)
Live-Webinar
Di. 19. Mai 2026
19:00 Uhr CET (Berlin)
Prof. Dr. med. dent. Ivo Krejci
Live-Webinar
Mi. 20. Mai 2026
13:00 Uhr CET (Berlin)
Dr. Graham Carmichael BDSc (Hons), DClinDent (Pros), FRACDS, Dr. Robert Gottlander DDS
Live-Webinar
Mi. 20. Mai 2026
15:00 Uhr CET (Berlin)
Live-Webinar
Mi. 20. Mai 2026
17:00 Uhr CET (Berlin)
To post a reply please login or register