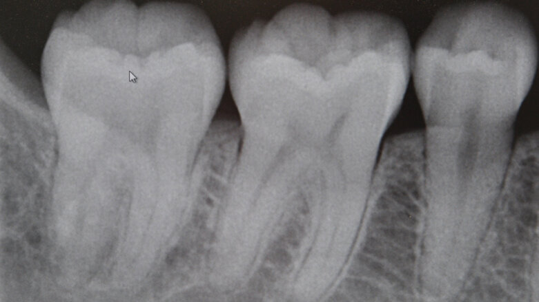
HAMILTON, Kanada – Wie es um die eigene Vitamin-D-Versorgung bestellt ist, lässt sich anhand von Zahnröntgenaufnahmen ablesen, wie kanadische Forscher herausfanden.
Dass Vitamin D einen Einfluss auf die Zahnstruktur hat, ist seit Längerem bekannt. In der Anthropologie wird das Wissen genutzt, um Kenntnisse über das Leben unserer Vorfahren zu erlangen. Allerdings waren bisher aufwendige Aufspaltungsprozesse der Zähne notwendig. Kein Wunder also, dass diese Form der Untersuchung bisher nur an Toten angewendet wurde.
Nun haben Forscher der McMaster University jedoch einen Weg gefunden, einen Mangel an Vitamin D anhand der Zähne abzulesen – ohne sie dabei aufspalten zu müssen. Möglich wird dies, weil ein eindeutiger Zusammenhang zwischen dem Vorhandensein des Vitamins und der Pulpaform ausgemacht wurde. Der Vorteil: Ein unkompliziertes Ablesen mithilfe von Röntgenaufnahmen wird realisierbar.
Zeigt die Zahnpulpa eine gerade Form, die einem Stuhl ähnelt, kann man von einem starken Vitamin-Mangel ausgehen. Ein geschwungener Verlauf mit „Hörnern“ sagt hingegen, dass alles in Ordnung ist.
Die Studie ist im International Journal of Paleopathology erschienen.
Schlagwörter:
SEELBACH, Deutschland – Eine aktuelle Studie der Universität von Toronto hat einen Zusammenhang zwischen Vitamin D, Parodontitis und Typ-2-Diabetes ...
LEIPZIG – Das wichtige Vitamin B12 (auch Cobalamin genannt) wird hauptsächlich durch tierische Produkte wie Fleisch, Fisch oder auch ...
USA – Künstlich erzeugte Röntgenbilder sind inzwischen so realistisch, dass selbst erfahrene Radiologen Schwierigkeiten haben, sie von echten Aufnahmen ...
Köln – Beobachtungsstudien deuten darauf hin, dass Vitamin D, Omega-3-Fettsäuren und Bewegung das biologische Altern verlangsamen können. Im Rahmen ...
SOUTH CERNEY/LEIPZIG – Das britische Könighaus hat Röntgenaufnahmen von einer Versteigerung zurückziehen lassen. Die Aufnahmen, die ...
LEIPZIG – Manche schaffen es irgendwann, die Finger vom Glimmstängel zu lassen, andere scheitern immer wieder. Welchen Einfluss hat der ...
DORTMUND - Multitasking und Arbeitsunterbrechungen belasten die Beschäftigten und verschlechtern die Qualität ihrer Arbeit, so eine Studie der ...
HAMBURG – Die deutschen Zahnarztpatienten sind treu – rund drei Viertel haben ihren Zahnarzt zuletzt vor vielen Jahren gewechselt. Allerdings vertraut ...
Düsseldorf – Die Deutsche Gesellschaft für Funktionsdiagnostik und –therapie (DGFDT) hat einen neuen Vorstand. Am 21.11.2025 wurden auf der ...
NEW JERSEY - Das Anbringen von Graphen-basierten Nanosensoren auf Zahnschmelz könnte die Überwachung des Gesundheitszustandes ...
Live-Webinar
Mi. 20. Mai 2026
13:00 Uhr CET (Berlin)
Dr. Graham Carmichael BDSc (Hons), DClinDent (Pros), FRACDS, Dr. Robert Gottlander DDS
Live-Webinar
Mi. 20. Mai 2026
15:00 Uhr CET (Berlin)
Live-Webinar
Mi. 20. Mai 2026
17:00 Uhr CET (Berlin)
Live-Webinar
Mi. 20. Mai 2026
19:00 Uhr CET (Berlin)
Prof. Dr. med. dent. Tim Joda PhD, MSc, eMBA
Live-Webinar
Do. 21. Mai 2026
18:00 Uhr CET (Berlin)
Dr. Leonardo Muniz DDS, MSC
Live-Webinar
Fr. 22. Mai 2026
16:00 Uhr CET (Berlin)
Dr. Paweł Aleksandrowicz PhD
Live-Webinar
Fr. 22. Mai 2026
17:00 Uhr CET (Berlin)
To post a reply please login or register