Komplett optimistisch betrachtet sollte das oberste Ziel eines jeden Zahnarztes, der eine Füllungstherapie und/oder eine Wurzelkanalbehandlung durchführt, der Erhalt der Pulpenvitalität und der Zahnfunktionalität ohne jegliche Beschwerden für den Patienten sein. Das Pulpagewebe wird benötigt, um Versorgung, Innervation und Immunkompetenz sicherzustellen, wobei diese Faktoren als Abwehrmechanismus fungieren und vor Angriffen von außen warnen. (1)
Das Pulpagewebe kann infolge von Zahnfäule dem Mundmilieu ausgesetzt sein oder bei der Füllungstherapie oder bei zahntechnischen Behandlungen freigelegt werden. In diesen Fällen gibt es zwei Behandlungsmöglichkeiten: die Wurzelkanalbehandlung und die Zahnextraktion. Ersteres Verfahren ist eine gute Wahl, während letztere um jeden Preis vermieden werden sollte, um die Gesundheit und die natürliche Funktion des Zahns für den Patienten zu erhalten. (2-4)
Eine weitere Alternative bei freiliegender Pulpa ist der Einsatz konservativer Verfahren zum Erhalt der Pulpenvitalität, darunter: unmittelbare Pulpa-Überkappung, mittelbare Pulpa-Überkappung, bei der die Pulpa nicht vollständig freiliegt, und partielle oder vollständige Pulpotomie; auf diese Weise können die Zahnvitalität, die Nozizeptorfunktion und das körpereigene Abwehrsystem erhalten werden. Anhand der weiter oben genannten Punkte hat sich unter anderem gezeigt, dass Zähne ohne Wurzelkanalbehandlung länger überleben, als solche, die endodontisch behandelt wurden. (2, 5, 6)
Nachfolgend stelle ich zwei klinische Fälle vor, bei denen das Pulpagewebe bei der Beseitigung der Zahnfäule mechanisch freigelegt wurde. In beiden Fällen ist es gelungen, die Pulpenvitalität der betroffenen Zähne durch unmittelbare Pulpa-Überkappung zu erhalten. Das in diesem Artikel vorgeschlagene Vitalitätsprotokoll der Pulpa-Überkappung wird unter dem klinischen Fall 1 vorgestellt. Der klinische Fall 2 beschreibt eine Behandlung mit langfristiger Nachkontrolle, bei der die vollständige Bildung von Kalkgewebe unter dem Überkappungsmaterial in Röntgenaufnahmen nachgewiesen werden kann. Das Behandlungsprotokoll war in beiden Fällen ähnlich.
Fall 1
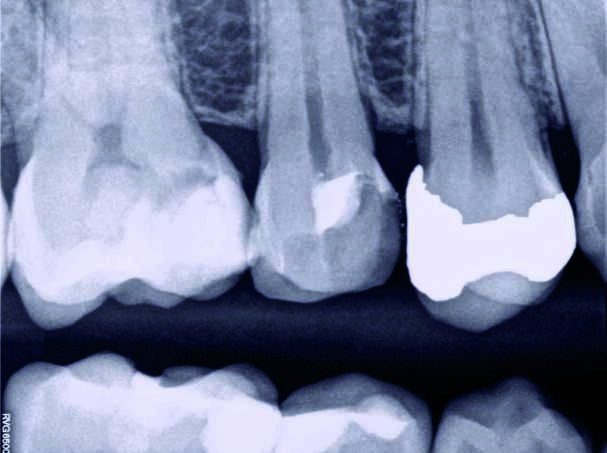
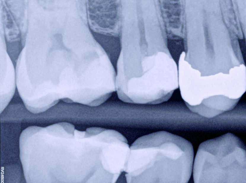
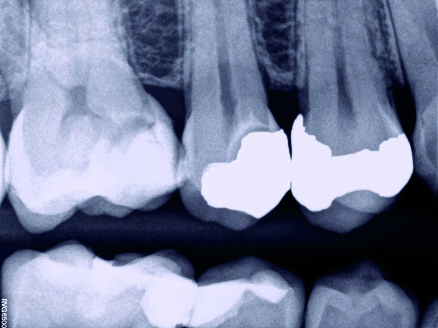
Ein 24-jähriger Patient kam mit vorübergehenden, provozierten Zahnschmerzen an Zahn #19 in die Zahnklinik (Abb. 1). Die Diagnose lautete reversible Pulpitis. Die Zahnfäule wurde unter kompletter Isolation entfernt, wobei es zweimal zur Freilegung der Pulpa mit minimalen Blutungen kam (Abb. 2). Die Blutungen wurden gestoppt, indem 10 Sekunden lang ein mit steriler Salzlösung getränkter Wattebausch auf die Stelle gedrückt wurde. Die Mundhöhle wurde mit 2,5% Natriumhypochlorit desinfiziert (Abb. 3), anschliessend wurde weißes MTA (Produits Dentaires) als Mittel zur unmittelbaren Pulpa-Überkappung eingesetzt (Abb. 4). Um sicherzustellen, dass das MTA korrekt eingesetzt wurde, kam das MAP-System für Dentalmaterialien (Produits Dentaires) zur Anwendung. Mit diesem System kann der Klinikarzt das Material exakt an der Expositionsstelle anbringen. Somit wird eine Verunreinigung der Dentinwände verhindert, die mit der Zeit eine Pigmentierung infolge des verwendeten Materials aufweisen könnten (Abb. 5 und 6). Sobald das MTA auf die Expositionsstellen der Pulpa und die tieferliegenden Teile des Pulpakammerdachs aufgetragen wurde, kam eine lichthärtende Kalziumhydroxidpaste zum Einsatz, um das Material zu schützen (Abb. 7), das Klebeverfahren durchführen und die abschliessende Zahnreparatur in derselben Sitzung vornehmen zu können (Abb. 8 und 9). Sieben Tage nach dem Verfahren war der Patient komplett symptomfrei und der Zahn reagierte normal auf Sensitivitätstests. In solchen klinischen Situationen ist davon auszugehen, dass zwischen sechs und neun Monaten nach dem Verfahren die Bildung von Kalkgewebe unter dem Überkappungsmaterial in Röntgenaufnahmen nachgewiesen werden kann. (7)
Fall 2
Ein 35-jähriger Patient kam mit vorübergehenden, provozierten Zahnschmerzen an Zahn #4 in die Zahnklinik. Die Diagnose lautete reversible Pulpitis. Es wurde dasselbe Behandlungsprotokoll zum Erhalt der Pulpenvitalität wie im klinischen Fall 1 eingehalten (Abb. 10, 11 und 12), nur dass in diesem Fall die endgültige Zahnreparatur nicht während derselben Sitzung erfolgte. Stattdessen wurde ein vorübergehendes strahlendurchlässiges Reparaturmaterial eingesetzt. Damit konnte die richtige Dicke des Materials für die Pulpa-Überkappung und seine korrekte Positionierung auf der Höhe des Lochs gewährleistet werden, während der Zahnrand für ein gutes Klebeprotokoll sauber gehalten wurde (Abb. 13, 14 und 15). Es wurde berichtet, dass die Erfolgsrate bei den Behandlungsverfahren zum Erhalt der Pulpenvitalität abfallen kann, wenn die endgültige Zahnreparatur zwei Tage nach dem ursprünglichen Verfahren durchgeführt wird. (8) Das MAP-System ist äußerst hilfreich im Hinblick auf eine präzise und stabile Platzierung des Überkappungsmaterials bei unmittelbaren und mittelbaren Verfahren sowie bei partiellen und vollständigen Pulpotomien. In diesem Fall erfolgte die abschliessende Reparatur 15 Tage nach dem ursprünglichen Verfahren und der Patient war vollständig symptomfrei. Neun Monate später wurde die vollständige Bildung des Kalkgewebes auf der Höhe der Pulpen-Überkappung festgestellt, der Zahn ist vital geblieben und der Patient ist vollständig symptomfrei (Abb. 16).
Der Erhalt der richtigen Diagnose ist der Schlüssel zum Erfolg bei der konservativen Pulpabehandlung. Der Idealfall ist die Diagnose einer reversiblen Pulpitis ohne früheres Auftreten von spontanen oder lang anhaltenden Zahnschmerzen. (9) Es wird im Allgemeinen davon ausgegangen, dass eine Vorgeschichte mit spontanen Schmerzen oder Schmerzen in der Nacht mit einem irreversiblen entzündlichen Prozess der Pulpa einhergeht. (10, 11) In diesen Fällen mag der Erfolg der unmittelbaren Pulpa-Überkappung fraglich sein (12), auch wenn Studien darauf hindeuten, dass die Behandlung zum Erhalt der Pulpenvitalität auch in diesen Fällen erfolgreich sein kann. (2, 13-15)
Was den langfristigen Erfolg der Behandlungsverfahren zum Erhalt der Pulpa anbelangt, so ist es äußerst wichtig, den Zahn endgültig wiederherzustellen, sodass eine angemessene Versiegelung des Zahnrandes gewährleistet ist. Der Grund dafür ist, dass die korrekte Versiegelung in Verbindung mit der ausbleibenden bakteriellen Verunreinigung während der Behandlung einer der wichtigsten Faktoren ist, um eine nachfolgende Entzündung der Pulpa zu vermeiden. (4, 16) Die berichtete Erfolgsrate bei Therapieverfahren zum Erhalt der Pulpenvitalität mit MTA und einem Nachbeobachtungszeitraum von bis zu zehn Jahren beträgt über 80% (17) – ein ziemlich hoher Prozentsatz für eine Zahnbehandlung innerhalb dieses Funktionszeitraums.
Es scheint, dass die konservative Pulpabehandlung mit der Zeit immer beliebter wird. Hier beziehen sich die Erwägungen unter anderem auf die Bedeutung des Pulpagewebes, neueste Fortschritte im Hinblick auf Protokolle und geeignete Materialien für die Behandlung zum Erhalt der Pulpenvitalität und wirtschaftliche Faktoren, die die Entscheidungsfindung in vielen Ländern beeinflussen, sodass viele Patienten infolge der Kosten der Wurzelkanalbehandlung (2, 18) zu einer vorzeitigen Zahnextraktion neigen.
Literaturhinweise
- Zanini M, Meyer E, Simon S. Pulp Inflammation Diagnosis from Clinical to Inflammatory Mediators: A Systematic Review. J Endod 2017.
- Asgary S, Eghbal MJ, Fazlyab M, Baghban AA, Ghoddusi J. Five-year results of vital pulp therapy in permanent molars with irreversible pulpitis: a non-inferiority multicenter randomized clinical trial. Clin Oral Investig 2015;19(2):335-341.
- McDougal RA, Delano EO, Caplan D, Sigurdsson A, Trope M. Success of an alternative for interim management of irreversible pulpitis. Journal of the American Dental Association (1939) 2004;135(12):1707-1712.
- Edwards J, Swift J, Trope M, Ritter V. Vital pulp therapy for the mature tooth – can it work? Endodontic Topics 2003(5).
- Aguilar P, Linsuwuanont P. Vital pulp teraphy in vital permanent teeth with cariously exposed pulp: A sistematic review. Journal of Endodontics 2012;37(5).
- Asgary S, Eghbal MJ, Ghoddusi J, Yazdani S. One-year results of vital pulp therapy in permanent molars with irreversible pulpitis: an ongoing multicenter, randomized, non-inferiority clinical trial. Clin Oral Investig 2013;17(2):431-439.
- Maroto M, Barberia E, Planells P, Garcia Godoy F. Dentin bridge formation after mineral trioxide aggregate (MTA) pulpotomies in primary teeth. American journal of dentistry 2005;18(3):151-154.
- Mente J, Hufnagel S, Leo M, Michel A, Gehrig H, Panagidis D, et al. Treatment outcome of mineral trioxide aggregate or calcium hydroxide direct pulp capping: long-term results. J Endod 2014;40(11):1746-1751.
- Camp J. Diagnosis dilemmas in vital pulp therapy: treatment of the toothache is changing, Especially in young, immature teeth. Journal of Endodontics 2008;34(7S):S6.
- Endodontics AAE. Endodontic Diagnosis. Collages for Excelence 2013(Fall 2013).
- Mejare IA, Axelsson S, Davidson T, Frisk F, Hakeberg M, Kvist T, et al. Diagnosis of the condition of the dental pulp: a systematic review. International endodontic journal 2012;45(7):597-613.
- Barrieshi-Nusair KM, Qudeimat MA. A prospective clinical study of mineral trioxide aggregate for partial pulpotomy in cariously exposed permanent teeth. J Endod 2006;32(8):731-735.
- Matsuo T, Nakanishi T, Shimizu H, Ebisu S. A clinical study of direct pulp capping applied to carious-exposed pulps. J Endod 1996;22(10):551-556.
- Mejare I, Cvek M. Partial pulpotomy in young permanent teeth with deep carious lesions. Endodontics & dental traumatology 1993;9(6):238-242.
- Caliskan MK. Pulpotomy of carious vital teeth with periapical involvement. International endodontic journal 1995;28(3):172-176.
- Rechenberg D-K, Zehnder M. Molecular diagnostics in endodontics. Endodontic Topics 2014;30(1):51-65.
- Johannes Mente ea. treatment outcome of mineral trioxide agregate or calcium hidroxide for direct pulp capping: long term results. Journal of endodontics 2014;40(11).
- Asgary S, Eghbal MJ. Treatment outcomes of pulpotomy in permanent molars with irreversible pulpitis using biomaterials: a multi-center randomized controlled trial. Acta Odontol Scand 2013;71(1):130-136.
Schlagwörter:
BERLIN - Die Kassenzahnärztliche Bundesvereinigung (KZBV) unterstützt auch weiterhin grundsätzlich die Einführung der elektronischen ...
MÜNCHEN – Die Kassenzahnärztliche Vereinigung Bayerns (KZVB) und der BKK Landesverband Bayern haben sich hinsichtlich der ...
BERLIN – Karies frühzeitig erkennen und die natürliche Zahnsubstanz weitestgehend erhalten, das sollen sensitive Diagnose- und ...
BASEL - Für Kinder mit Lippen- oder Gaumenspalten ist es nicht immer einfach, die benötigte Behandlung zu bekommen. Forschende entwickeln deshalb ein ...
LEIPZIG – Um ästhetische Behandlungen geht es in einem vom DT Study Club präsentierten Webinar am 11. Februar. Die kostenfreie ...
Berlin – Für die Kassenzahnärztliche Bundesvereinigung (KZBV) steht fest: Um die Finanzsituation der gesetzlichen Krankenversicherung (GKV) nachhaltig ...
BERLIN - Dr. Peter Engel, Präsident der Bundeszahnärztekammer (BZÄK) befürchtet durch die Einführung des Bachelor in der ...
Chicago – Wer schon einmal beim Eisessen zusammengezuckt ist, kennt das Problem: Plötzlicher Schmerz, der tief in den Zahn zieht. Die Ursache liegt im ...
MARL - Auch wenn neue Verfahren für die Praxen sicheren Mehrwert hervorbringen können – stets sollten Aufwand und Nutzen gegeneinander ...
COTTBUS – Ministerpräsident Dr. Dietmar Woidke überreichte während einer Feierstunde in der Staatskanzlei am 6. April der Zahnärztin Dr. Gudrun Rojas ...
Live-Webinar
Do. 14. Mai 2026
18:00 Uhr CET (Berlin)
Live-Webinar
Do. 14. Mai 2026
20:00 Uhr CET (Berlin)
Prof. Hani Ounsi DDS PhD FICD
Live-Webinar
Di. 19. Mai 2026
17:00 Uhr CET (Berlin)
Live-Webinar
Di. 19. Mai 2026
19:00 Uhr CET (Berlin)
Prof. Dr. med. dent. Ivo Krejci
Live-Webinar
Mi. 20. Mai 2026
13:00 Uhr CET (Berlin)
Dr. Graham Carmichael BDSc (Hons), DClinDent (Pros), FRACDS, Dr. Robert Gottlander DDS
Live-Webinar
Mi. 20. Mai 2026
15:00 Uhr CET (Berlin)
Live-Webinar
Mi. 20. Mai 2026
17:00 Uhr CET (Berlin)
To post a reply please login or register