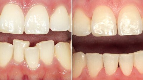
LEIPZIG – Gerade Zähne in nur sechs Monaten? Was sich erst einmal nicht machbar anhört, ist dank einer neuen Behandlungsmethode möglich geworden. Wie diese funktioniert und in den Praxisalltag integriert werden kann, erklärt Zahnarzt Dr. Jan Einfeldt, Experte auf dem Gebiet der minimalinvasiven ästhetischen Kieferorthopädie und kurzzeitigen Kieferorthopädie, im Rahmen einer kostenfreien Online-Fortbildung am 7. März.
Während des etwa einstündigen Webinars, das bequem an jedem Rechner verfolgt werden kann, wird der Referent erläutern, wie jeder Zahnarzt seinen Patienten in durchschnittlich sechs Monaten zu geraden Zähnen verhelfen kann – und das ohne kieferorthopädische Vorkenntnisse. Die vermittelten Kenntnisse können dazu beitragen, das Behandlungsspektrum in der eigenen Praxis mit der ästhetischen kieferorthopädischen Kurzzeitbehandlung Six Month Smiles zu erweitern.
Fragen zum System, der Zeitspanne, dem typischen Behandlungsablauf, den verwendeten Brackets und Bögen und dem Unterschied zu einer Behandlung mit Alignern werden im Vortrag geklärt. Zusätzliche Fragen können alle Teilnehmer über ein Chatfenster stellen, sie werden im Anschluss vom Referenten beantwortet. Für die erfolgreiche Teilnahme winkt ein Fortbildungspunkt.
Das Webinar wird am Freitag, 7. März, ab 15 Uhr live im Internet übertragen. Die kostenfreie Registrierung ist ab sofort unter www.dtstudyclub.de möglich.
LEIPZIG – Um eine revolutionäre Kombination aus geprüfter kieferorthopädischer Technik und modernsten Materialien geht es in einem vom ...
LEIPZIG – Wer seinen Patienten ein Traumlächeln schenken möchte, kann das auch ohne kieferorthopädische Vorkenntnisse – und das ...
Leipzig – Die Alignertherapie hat sich zu einem festen Bestandteil der modernen, digitalen Zahnmedizin entwickelt und erweitert das Behandlungsspektrum ...
LEIPZIG – Um eine revolutionäre Kombination aus geprüfter kieferorthopädischer Technik und modernsten Materialien geht es in einem vom ...
LEIPZIG – Ein perfektes Lächeln in nur sechs Monaten? Die Kombination aus geprüfter kieferorthopädischer Technik und modernsten ...
Shanghai – Ein vielversprechendes Antibiotikum namens Azithromycin (AZM) könnte die Behandlung von Parodontitis revolutionieren. Ein Forschungsteam der ...
MARL - Auch wenn neue Verfahren für die Praxen sicheren Mehrwert hervorbringen können – stets sollten Aufwand und Nutzen gegeneinander ...
MAGDEBURG - Die Zahnärztekammer Sachsen-Anhalt hatte, auf Grundlage einer von der Kammerversammlung beschlossenen Richtlinie, Kammerzertifikate u.a. ...
LEIPZIG – Ist eine durch Bakterien verursachte Entzündung vom Zahnfleisch bis zum Zahnbett vorgedrungen, spricht man von einer marginalen ...
LEIPZIG – Sofortimplantation lautet das Thema eines aktuellen Webinars, das der DT Study Club am Mittwoch, 8. März, präsentiert. Unmittelbar...
Live-Webinar
Do. 14. Mai 2026
18:00 Uhr CET (Berlin)
Live-Webinar
Do. 14. Mai 2026
20:00 Uhr CET (Berlin)
Prof. Hani Ounsi DDS PhD FICD
Live-Webinar
Di. 19. Mai 2026
17:00 Uhr CET (Berlin)
Live-Webinar
Di. 19. Mai 2026
19:00 Uhr CET (Berlin)
Prof. Dr. med. dent. Ivo Krejci
Live-Webinar
Mi. 20. Mai 2026
13:00 Uhr CET (Berlin)
Dr. Graham Carmichael BDSc (Hons), DClinDent (Pros), FRACDS, Dr. Robert Gottlander DDS
Live-Webinar
Mi. 20. Mai 2026
15:00 Uhr CET (Berlin)
Live-Webinar
Mi. 20. Mai 2026
17:00 Uhr CET (Berlin)
To post a reply please login or register