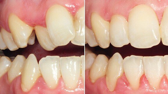
LEIPZIG – Um eine revolutionäre Kombination aus geprüfter kieferorthopädischer Technik und modernsten Materialien geht es in einem vom DT Study Club präsentierten kostenfreien Webinar am 29. Januar. Ein spezielles durchsichtiges Spangensystem ermöglicht eine behutsame Aufrichtung und Begradigung der Zähne in einer durchschnittlichen Zeit von nur sechs Monaten.
Viele Erwachsene verbringen das halbe Leben damit, sich beim Lachen, Lächeln oder Reden den Mund zu verdecken. Sie wissen nicht was Sie tun sollen, weil sie nicht über Jahre hinweg eine Metallzahnspange tragen wollen oder verunsichert sind über andere Zahnkorrekturmaßnahmen, die vielleicht nur operativ durchgeführt werden können oder zu teuer sind.
Im Rahmen der Online-Fortbildung präsentiert Referent Dr. Jan Einfeldt die effektive, sichere und bezahlbare kosmetische Spangensystemlösung SixMonthSmiles. Deren Entwickler haben sich auf die besten Aspekte von Zahnspangen konzentriert und die Behandlungsform modifiziert, um erwachsenen Patienten eine vernünftige kosmetische Lösung zu bieten.
Im etwa einstündigen Webinar wird demonstriert, wie das System funktioniert und wie jeder Zahnarzt eine KFO-Behandlung mit SixMonthSmiles durchführen kann.
Die Anmeldung für das Webinar „SixMonthSmiles: In sechs Monaten zu geraden Zähnen“ ist ab sofort auf der Internetseite des DT Study Clubs möglich. Die Übertragung erfolgt am Mittwoch, 29. Januar, ab 15 Uhr und kann bequem an jedem beliebigen Rechner verfolgt werden. Alle Teilnehmer haben die Möglichkeit, während der Übertragung per Chat Fragen an den Referenten zu stellen und sich durch das Beantworten eines Online-Fragebogens zur behandelten Thematik einen Fortbildungspunkt zu sichern.
LEIPZIG – Wer seinen Patienten ein Traumlächeln schenken möchte, kann das auch ohne kieferorthopädische Vorkenntnisse – und das ...
LEIPZIG – Um eine revolutionäre Kombination aus geprüfter kieferorthopädischer Technik und modernsten Materialien geht es in einem vom ...
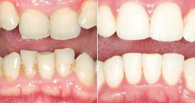
LEIPZIG – Gerade Zähne in nur sechs Monaten? Was sich erst einmal nicht machbar anhört, ist dank einer neuen Behandlungsmethode möglich...
LEIPZIG – Gerade Zähne in nur sechs Monaten? Was sich erst einmal nicht machbar anhört, ist dank einer neuen Behandlungsmethode möglich...
Leipzig – Die Alignertherapie hat sich zu einem festen Bestandteil der modernen, digitalen Zahnmedizin entwickelt und erweitert das Behandlungsspektrum ...
BENSHEIM/SALZBURG – Ein zertifizierter Kurs der Sirona Dental Akademie in Bensheim vermittelt die Grundlagen des 3D-Röntgens. Teilnehmer ...
GREIFSWALD – Wer regelmäßig Zahnseide oder kleine Bürstchen für die Zahnzwischenräume nutzt, schützt sich wirkungsvoll vor Zahnfleischentzündungen....
LEIPZIG - Im Live-Tutorial mit Dr. Jens Voss werden komplexe Herangehensweisen sowie mögliche differenzierte Wege zum Ziel „Gesunde und schöne Zähne“...
Düsseldorf – Am 16. und 17. Januar fand in Düsseldorf die elfte Auflage des Kongresses „ALLES AUSSER ZÄHNE“ statt. Mit der traditionsreichen ...
DÜSSELDORF – Erstmals ist nach den Regularien der AWMF (Arbeitsgemeinschaft der Wissenschaftlichen Medizinischen Fachgesellschaften) eine ...
Live-Webinar
Do. 14. Mai 2026
18:00 Uhr CET (Berlin)
Live-Webinar
Do. 14. Mai 2026
20:00 Uhr CET (Berlin)
Prof. Hani Ounsi DDS PhD FICD
Live-Webinar
Di. 19. Mai 2026
17:00 Uhr CET (Berlin)
Live-Webinar
Di. 19. Mai 2026
19:00 Uhr CET (Berlin)
Prof. Dr. med. dent. Ivo Krejci
Live-Webinar
Mi. 20. Mai 2026
13:00 Uhr CET (Berlin)
Dr. Graham Carmichael BDSc (Hons), DClinDent (Pros), FRACDS, Dr. Robert Gottlander DDS
Live-Webinar
Mi. 20. Mai 2026
15:00 Uhr CET (Berlin)
Live-Webinar
Mi. 20. Mai 2026
17:00 Uhr CET (Berlin)
To post a reply please login or register