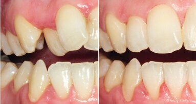
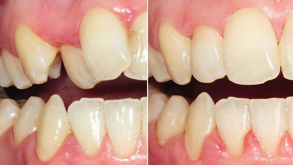
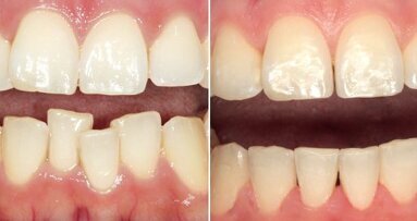
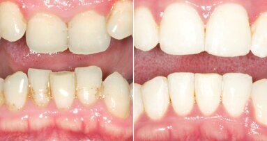
LEIPZIG – Um eine revolutionäre Kombination aus geprüfter kieferorthopädischer Technik und modernsten Materialien geht es in einem vom DT Study Club präsentierten kostenfreien Webinar am 5. August. Ein spezielles durchsichtiges Spangensystem ermöglicht eine behutsame Aufrichtung und Begradigung der Zähne in einer durchschnittlichen Zeit von nur sechs Monaten.
Viele Erwachsene verbringen das halbe Leben damit, sich beim Lachen, Lächeln oder Reden den Mund zu verdecken. Sie wissen nicht was Sie tun sollen, weil sie nicht über Jahre hinweg eine Metallzahnspange tragen wollen oder verunsichert sind über andere Zahnkorrekturmassnahmen, die vielleicht nur operativ durchgeführt werden können oder zu teuer sind.
Im Rahmen der Online-Fortbildung präsentiert Referent Dr. Jan Einfeldt die effektive, sichere und bezahlbare kosmetische Spangensystemlösung SixMonthSmiles. Deren Entwickler haben sich auf die besten Aspekte von Zahnspangen konzentriert und die Behandlungsform modifiziert, um erwachsenen Patienten eine vernünftige kosmetische Lösung zu bieten.
Im etwa einstündigen Webinar wird demonstriert, wie das System funktioniert und wie jeder Zahnarzt eine KFO-Behandlung mit SixMonthSmiles durchführen kann.
Die Anmeldung für das Webinar „Gerade Zähne in durchschnittlich nur sechs Monaten“ ist ab sofort auf der Internetseite des DT Study Clubs möglich. Die Übertragung erfolgt am Dienstag, 5. August, ab 19.30 Uhr und kann bequem an jedem beliebigen Rechner verfolgt werden. Alle Teilnehmer haben die Möglichkeit, während der Übertragung per Chat Fragen an den Referenten zu stellen und sich durch das Beantworten eines Online-Fragebogens zur behandelten Thematik einen Fortbildungspunkt zu sichern.
embedImagecenter("Imagecenter_1_1118",1118, "large");
LEIPZIG – Gerade Zähne in nur sechs Monaten? Was sich erst einmal nicht machbar anhört, ist dank einer neuen Behandlungsmethode möglich...
LEIPZIG – Um eine revolutionäre Kombination aus geprüfter kieferorthopädischer Technik und modernsten Materialien geht es in einem vom ...
LEIPZIG – Wer seinen Patienten ein Traumlächeln schenken möchte, kann das auch ohne kieferorthopädische Vorkenntnisse – und das ...
Leipzig – Die Alignertherapie hat sich zu einem festen Bestandteil der modernen, digitalen Zahnmedizin entwickelt und erweitert das Behandlungsspektrum ...
LEIPZIG – Ein perfektes Lächeln in nur sechs Monaten? Die Kombination aus geprüfter kieferorthopädischer Technik und modernsten ...
LEIPZIG – Die Füllungstherapie hat in den vergangenen Jahren eine rasante Entwicklung erfahren und verfügt mittlerweile über ...
LEIPZIG – Die Versorgung des zahnlosen Unterkiefers mit einer Totalprothese ohne Retention ist bei den meisten Patienten/-innen keine ...
LEIPZIG – Die Langzeitprognose wurzelbehandelter Zähne hängt zum einen von der Durchführung und Qualität der endodontischen ...
Nottingham – Der natürliche Zahnschmelz ist das härteste biologische Material im menschlichen Körper. Trotz seiner geringen Dicke von nur wenigen ...
INNSBRUCK - Michael Traugott und seine Spin-Off-Firma Sinsoma GmbH entwickeln zusammen mit den Instituten für Zoologie und für Mikrobiologie der ...
Live-Webinar
Do. 14. Mai 2026
18:00 Uhr CET (Berlin)
Live-Webinar
Do. 14. Mai 2026
20:00 Uhr CET (Berlin)
Prof. Hani Ounsi DDS PhD FICD
Live-Webinar
Di. 19. Mai 2026
17:00 Uhr CET (Berlin)
Live-Webinar
Di. 19. Mai 2026
19:00 Uhr CET (Berlin)
Prof. Dr. med. dent. Ivo Krejci
Live-Webinar
Mi. 20. Mai 2026
13:00 Uhr CET (Berlin)
Dr. Graham Carmichael BDSc (Hons), DClinDent (Pros), FRACDS, Dr. Robert Gottlander DDS
Live-Webinar
Mi. 20. Mai 2026
15:00 Uhr CET (Berlin)
Live-Webinar
Mi. 20. Mai 2026
17:00 Uhr CET (Berlin)
To post a reply please login or register