LEIPZIG – Ein perfektes Lächeln in nur sechs Monaten? Die Kombination aus geprüfter kieferorthopädischer Technik und modernsten Materialien macht es möglich. In einem von DT Study Club präsentierten Webinar am 11. Juni erfahren die Teilnehmer/-innen wie das genau geht – und das kostenfrei und bequem vor dem eigenen Rechner.
Erwachsene scheuen sich oftmals davor, sich ihre Zähne begradigen zu lassen. Zu groß ist die Angst, über einen langen Zeitraum eine Metallzahnspange tragen zu müssen. Alternative Zahnkorrekturmaßnahmen erfordern eine Operation oder sind sehr preisintensiv.
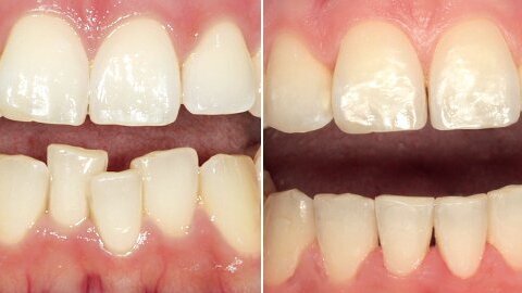
Mit dem speziellen durchsichtigen Spangensystem von Six Month Smiles wird eine behutsame Aufrichtung und Begradigung der Zähne in einer durchschnittlichen Zeit von nur sechs Monaten ermöglicht. Im Webinar stellt Referent Dr. Jan Einfeldt die effektive und bezahlbare kosmetische Spangensystemlösung vor, erläutert die Wirkungsweise und erklärt den Unterschied zu einer Behandlung mit Alignern.
Die Anmeldung für das etwa einstündige Webinar „Six Month Smiles – Erweitern Sie Ihr Behandlungsspektrum und schenken Sie Ihren Patienten ein neues Lächeln!“ ist ab sofort auf der Internetseite des DT Study Clubs möglich.
Die Übertragung erfolgt am Mittwoch, 11. Juni, ab 17 Uhr und kann bequem an jedem beliebigen Rechner verfolgt werden. Alle Teilnehmer/-innen haben die Möglichkeit, während der Übertragung per Chat Fragen an den Referenten zu stellen und sich durch das Beantworten eines Online-Fragebogens zur behandelten Thematik einen Fortbildungspunkt zu sichern.
embedImagecenter("Imagecenter_1_1118",1118, "large");
LEIPZIG – Um eine revolutionäre Kombination aus geprüfter kieferorthopädischer Technik und modernsten Materialien geht es in einem vom ...
DÜSSELDORF/BERLIN – „Hoffentlich wird es nicht so schlimm wie es schon ist.“ Mit diesem von Karl Valentin geliehenen Satz ...
Mit seiner einzigartigen Kombination aus zentraler Lage, herausragendem Ambiente und frühsommerlichem Wetter bot Wien den idealen Rahmen für die ...
NYON – Die Swiss Dental Academy (SDA) teilte gestern auf ihrer Facebook-Seite mit, dass mehr als 15.000 Registrierungen bei ihrem ersten internationalen ...
LEIPZIG – Gerade Zähne in nur sechs Monaten? Was sich erst einmal nicht machbar anhört, ist dank einer neuen Behandlungsmethode möglich...
HAMBURG – Am 30. April 2016 treffen sich Zahnärzteschaft, zahnärztliches Fachpersonal, Zahntechniker auf der einzigen Dentalmesse im Norden....
KÖLN - Am Dienstagabend trafen sich die Verantwortlichen der Koelnmesse und des Verbands der Deutschen DentalIndustrie sowie Vertreter der Dentalbranche ...
Wenn sich Patienten einer kieferorthopädischen Behandlung mit festen Geräten unterziehen, kann eine angemessene Mundhygiene für sie zur Herausforderung ...
Schwalbach – Oral-B, Innovationsführer für vernetzte Mundpflege, hat eine neue Ära der Zahnpflege eingeleitet und seine neueste Entwicklung im Bereich ...
LONDON, GROSSBRITANNIEN – Ein internationales Forscherteam der City University London hat herausgefunden, dass unser Gehirn die Emotionen der Anderen ...
Live-Webinar
Do. 14. Mai 2026
18:00 Uhr CET (Berlin)
Live-Webinar
Do. 14. Mai 2026
20:00 Uhr CET (Berlin)
Prof. Hani Ounsi DDS PhD FICD
Live-Webinar
Di. 19. Mai 2026
17:00 Uhr CET (Berlin)
Live-Webinar
Di. 19. Mai 2026
19:00 Uhr CET (Berlin)
Prof. Dr. med. dent. Ivo Krejci
Live-Webinar
Mi. 20. Mai 2026
13:00 Uhr CET (Berlin)
Dr. Graham Carmichael BDSc (Hons), DClinDent (Pros), FRACDS, Dr. Robert Gottlander DDS
Live-Webinar
Mi. 20. Mai 2026
15:00 Uhr CET (Berlin)
Live-Webinar
Mi. 20. Mai 2026
17:00 Uhr CET (Berlin)
To post a reply please login or register