Search Dental Tribune

Ist gesteuerte Geweberegeneration ohne Inzision möglich?

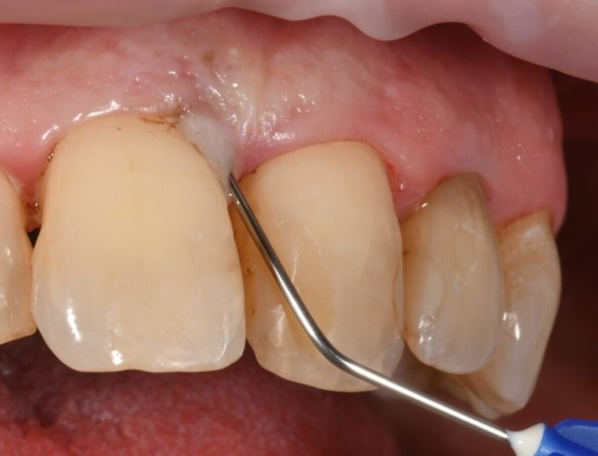
Applikation von Schmelzmatrixproteinen in einer Lappenchirurgie. © Beat Wallkamm

Auf diese Frage wird Dr. med. dent. Beat Wallkamm in einem Webinar am Mittwoch, 17. Juni, näher eingehen und Schmelzmatrixproteine als neue Behandlungsmöglichkeit für verlorenes parodontales Gewebe vorstellen. Im Vorfeld zu seiner Präsentation sprach Wallkamm mit Dental Tribune International über regenerative Materialien, die Zahnmedizinern heute zur Verfügung stehen, und welchen Stellenwert Schmelzproteine dabei einnehmen.

Dr med. dent. Wallkamm, welche Techniken und Materialien stehen Zahnärzten heute für die Regeneration von parodontalem Gewebe zur Verfügung?
Alles begann vor fast 40 Jahren mit einer nicht-resorbierbaren Membran und einem hoffnungslosen Frontzahn im Unterkiefer. Daraufhin wurde die erste kontrollierte Regeneration von parodontalem Gewebe durchgeführt. Im Verlaufe der Zeit kamen verschiedene neue Materialien dazu. Viele verschwanden auch wieder. Techniken und Materialien müssen verschiedene Kriterien erfüllen, damit wir sie zur parodontalen Regeneration empfehlen können. Bis heute gibt es folgende Möglichkeiten mit wissenschaftlicher Evidenz:

  • Membrantechnik resorbierbar und nicht-resorbierbar
  • Membran kombiniert mit Knochenfüller
  • Verwendung von Schmelzmatrixproteinen
  • Schmelzmatrixproteine mit deproteinisiertem bovinem Knochenersatzmaterial vermischt als Füller

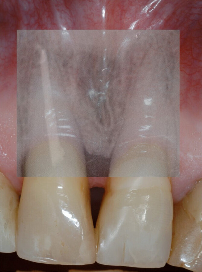
Applikation von Schmelzmatrixproteinen ohne Lappenbildung bei vertikalem Defekt 21 distal. © Beat Wallkamm

Inwiefern spielen Schmelzmatrixproteine eine Rolle und was sind deren Vorteile gegenüber anderen Materialien?
Schmelzmatrixproteine spielen seit über 20 Jahren eine ganz wichtige Rolle in der parodontalen Regeneration. Die ursprüngliche Idee dahinter war, es der Natur gleichzutun und Stoffe zur Auslösung des Regenerationsprozesses zu verwenden, die auch schon bei Embryos für die Bildung dieses Gewebes wichtig sind. Diese Proteine haben eine ganze Fülle von Eigenschaften, die den Prozess der Regeneration verbessern. Dazu gehören antibakterielle und auch Epithelzellen-abweisende Eigenschaften, die sich auf das Resultat sehr positiv auswirken.

Langzeitergebnis zehn Jahre nach gesteuerter Geweberegeneration bei Zahn 11 mesial. © Beat Wallkamm

Was sind die wichtigsten Punkte, die die Zuschauer des Webinars daraus mitnehmen werden?
Den Zuschauern wird die Geschichte der parodontalen Regeneration erzählt und verschiedene Meilensteine werden dargestellt. Auch wird die Geschichte der Entwicklung der Schmelzmatrixproteine gezeigt. Zuschauer sollen lernen, welche Techniken der parodontalen Regeneration heute mit guter Voraussagbarkeit angewendet werden können. Außerdem wird die Möglichkeit aufgezeigt, parodontale Regeneration ohne einen chirurgischen Eingriff zu erlangen. Dazu werden die Voraussetzungen, die eine Stelle oder ein Patient mitbringen sollte, um eine erfolgreiche Behandlung zu gewährleisten, diskutiert. Schritt für Schritt wird diese Technik dargestellt und erklärt, inklusive der notwendigen Vorarbeiten und der Nachsorge. Zahnmedizinern sollte es danach möglich sein, diese inzisionsfreie Technik in ihrer eigenen Praxis anzuwenden.

Das Webinar „Gesteuerte Geweberegeneration (GTR) ohne Inzision? – Neue Möglichkeiten!“, wird am 17. Juni, ab 17 Uhr live im Internet übertragen. Alle Teilnehmer haben die Möglichkeit, während der Übertragung per Chat Fragen an den Referenten zu stellen. Registrieren Sie sich jetzt kostenfrei für das Webinar auf der Seite des Straumann Campus.

Schlagwörter:
To post a reply please login or register
advertisement
advertisement