Search Dental Tribune

DEXIS Intraoralscanner jetzt mit offener und KI-unterstützter Bildgebungssoftware

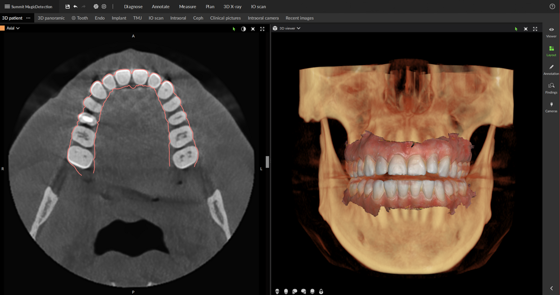
Übersicht unterschiedlicher Patientenbilder in der DTX Software mit dem DEXIS IS 3800 W Intraoralscanner. © DEXIS
DEXIS

DEXIS

Do. 21. September 2023

Speichern

QUAKERTOWN – Die Intraoralscanner von DEXIS enthalten seit kurzem neben der Scansoftware DEXIS IS ScanFlow zusätzlich auch eine Lizenz für DTX Studio Clinic, die preisgekrönte Plattform, die durch künstliche Intelligenz (KI) unterstützt wird.

Damit können Zahnärztinnen und Zahnärzte alle 2D- und 3D-Bilddaten für Diagnose, Behandlung und Nachsorge an einem zentralen Ort speichern. Die Software vereinfacht die Bilderfassung durch die Anbindung von vielen bildgebenden Programmen. Das offene System ermöglicht das Importieren und Exportieren von Daten in Standardformaten, zum Beispiel DICOM und STL. DTX Studio Clinic ist netzwerkfähig und kompatibel zu Windows und MAC. Zudem kann DTX über die VDDS-Schnittstelle an die vorhandene Abrechnungssoftware angebunden werden.

Der Ansatz von DTX Studio Clinic ist es, Zahnärztinnen und Zahnärzte sowie deren Patientinnen und Patienten in den Mittelpunkt zu stellen. KI hilft ihnen bei dieser Arbeit, damit sie durch vereinfachte Interaktion mit allen Patientendaten ihre Wertschöpfung steigern und sich voll auf die Behandlung ihrer Patienten konzentrieren können.

Die intraoralen Scan-Lösungen von DEXIS und die DTX Plattform ergänzen sich dabei perfekt. Der integrierte smarte Assistent von DTX hilft Anwenderinnen und Anwendern, alltägliche Prozesse zu vereinfachen und spart ihnen Zeit und Mühen. Das Matching von DVT-Scans und IO-Scans, sowie die Erkennung von Zähnen und Anatomien wird zum Beispiel automatisch vorgenommen. Weitere spannende Funktionen sind der Vergleich von zwei IO-Scans mit Visualisierung der Veränderungen, oder die Implantatplanung mit virtuell aufgestellten Zähnen und der abschließenden Übertragung an die Implantat-Planungssoftware DTX Implant zur Erstellung eines Guides.

2D-Zahnbefund*

Diese Funktion erleichtert die Erkennung und Diagnose von potenziellen Befunden mit der KI-gesteuerten Key Focus Area-Funktion in intraoralen 2D-Röntgenbildern.

MagicSort

Erkennt und sortiert automatisch alle intraoralen 2D-Röntgenbilder an die korrekte Position im Zahnstatus, ohne manuelle Zahneingabe.

Einzeichnen des Mandibularkanals

Die Einzeichnung des Unterkiefer-Nervenkanals in der DVT-Aufnahme erfolgt automatisch durch die Funktion KI-Tracing, wodurch Anwenderinnen und Anwender eine bessere Behandlungsplanung erhalten und Zeit einsparen können.

SmartFusion

Diese Funktion erlaubt es Zahnärztinnen und Zahnärzten einen DVT-Scan mit den intraoralen Scandaten zusammenzufügen, um eine 3D-Ansicht der zugrunde liegenden Anatomie zu erhalten. Dies bietet für die Diagnose, Planung und Behandlung einen großen Mehrwert.

Eine einzige Software, die all diese unterstützenden intelligenten Funktionen in einer Ansicht kombiniert, verbessert und vereinfacht die Patientenkommunikation, wodurch die Akzeptanz erhöht wird und sich Anwenderinnen und Anwender auf eine bestmögliche Patientenversorgung konzentrieren können.

Mit DTX ist es auch problemlos möglich, Daten mit Patientinnen und Patienten oder Kolleginnen und Kollegen zu teilen. Über die integrierte, DSGVO-konforme Cloud-Lösung können Daten und Patientenfälle schnell und sicher übertragen werden.

Mehr Informationen sind auf der DEXIS Website verfügbar. Dort kann zudem eine Produktdemonstration der Software und/oder der Scanner angefordert werden.

Anmerkung der Redaktion:

*Momentan erhältlich in Europa. Zulassung der U.S. Food and Drug Administration steht noch aus.

To post a reply please login or register
advertisement
advertisement