Die Kombination mechanischer und antibiotischer Maßnahmen bietet ein Konzept mit stabilen Langzeitergebnissen. Parodontalpathogene Bakterien sind in der Lage, ausgehend vom Zahnfleischsulkus in die parodontalen Gewebe einzudringen. Durch den damit verbundenen Verlust der epithelialen Integrität kann in der Folge die Zahnfleischtasche entstehen und die Gefahr einer Bakteriämie erhöht sich.
embedImagecenter("Imagecenter90",90);
Inzwischen ist bekannt, dass vorübergehende Bakteriämien beim Menschen nach dem Zähneputzen und nach Anwendung von Zahnseide entstehen können. Zunehmend wird in der Literatur auch über einen möglichen pathogenetischen Zusammenhang zwischen latenten chronischen Entzündungen und Störungen des Fettstoffwechsels bzw. Herz-Kreislauf- Erkrankungen berichtet. So gilt inzwischen die Zahnfleischtasche als eine wichtige bakterielle Eintrittspforte anaerober Bakterien bzw. verschiedener lokaler Zytokine in das Herz-Kreislauf-System. Für die destruktiven Prozesse an den parodontalen Geweben und am alveolären Knochen sind u. a. Agregatibacter actinomycetemcomitans und Porphyromonas gingivalis verantwortlich (Abb. 1a–b). Es gibt aber zunehmend auch Hinweise, dass gramnegative orale Bakterien in der Ätiologie der Arteriosklerose eine Rolle spielen. Zambon et al. wiesen Porphyromonas gingivalis in arteriosklerotischen Plaques bei Patienten mit koronarer Herzkrankheit nach. Genco et al. sprechen von einem erhöhten Risiko für Myokard - infarkte beim Nachweis von Porphy - romonas gingivalis und Tannerella forsythia in der Zahnfleischtasche.
Von der Parodontalchirurgie zur Parodontalmedizin
Vor diesem Hintergrund ist ein Wandel der bisherigen Therapiemodalitäten für die häufig generalisiert auftretende Parodontitis dringend nötig. Insbesondere muss die Therapie auf die Eradikation der parodontalpathogenen Bakterien gerichtet sein. Im Vordergrund der therapeutischen Bemühungen standen in den letzten Jahrzehnten chirurgische Maßnahmen zur Beseitigung der lokalisierten Gewebsinfektion an Zahnfleisch und Zahnhalteapparat, die mit zum Teil erheblichen Gewebsverlusten und entsprechenden ästhetischen Problemen verbunden sind. Aufgrund der geschilderten Erkenntnisse sollte aber unbedingt eine neue Entwicklung eingeleitet werden. H. N. Newmann postulierte schon 1994: „Wir bewegen uns von einem Zeitalter der Parodontalchirurgie zu einem, das man mit Parodontalmedizin bezeichnen könnte“. Es wird zunehmend deutlich, dass das therapeutische Herangehen von einem neuen Denken geprägt sein muss, das die Parodontitis vor allem als lokale Infektion der parodontalen Weichgewebe und des Alveolarknochens versteht, die an vielen Stellen der Dentition auftreten kann. Für den klinisch tätigen Arzt ergeben sich oft Unsicherheiten bei der Festlegung des richtigen Behandlungskonzeptes, besonders angesichts multipler Zahnfleischtaschen mit teilweise ausgeprägtem Attachmentverlust und nicht selten massiver Pusentleerung.
Die parodontalen Gewebe sind durch die parodontalpathogenen gramnegativen Anaerobier infiziert und es resultieren zum Teil erhebliche Gewebs- und Knochendestruktionen, nicht selten auch schon bei jungen Erwachsenen. Bei der schweren aggressiven und chronischen Parodontitisform ist es häufig, dass die Bakterien noch nach alleiniger mechanischer Therapie persistieren. Deshalb werden Therapiekonzepte benötigt, die die mechanische und antibiotische Therapie sinnvoll miteinander verknüpfen, um die pathogenen Bakterien möglichst an allen betroffenen Stellen zu eradizieren und so die „Eintrittspforte“ Parodont umfassend zu sanieren. Bisher gibt es unterschiedliche Auffassungen, wann mit der Antibiotikatherapie begonnen werden sollte.
Für den Behandlungserfolg ist es aus meiner Sicht entscheidend, den ersten Therapieschritt, das heißt die hygienische Vorbehandlung und Motivation des Patienten sowie die supra- und subgingivale Konkremententfernung deutlich von einem zweiten Schritt zu trennen, der mechanisch nur noch die abschließende, aber akribische Wurzelglättung und Granulationsgewebsentfernung an allen Stellen der Dentition möglichst in einer Sitzung umfasst und nun sinnvoll eine adjuvante Antibiotikatherapie ermöglicht. Es konnte von uns nachgewiesen werden, dass durch die adjuvante Antibiotikatherapie im Rahmen des 2-Schritt-Konzeptes die Eradikationsmöglichkeit der wesentlichen parodontopathogenen Bakterien deutlich erhöht wird und sich Vorteile für das klinische Langzeitergebnis ergeben.
2-Schritt-Behandlungsprotokoll
Die Behandlung erfolgte in zwei Hauptschritten:
1. Schritt: Systematische initiale supra- und subgingivale Konkremententfernung in jedem Quadranten (ca. drei bis vier Sitzungen, z.B. unter Verwendung von Hu-Friedy Prophylaxeküretten (Abb. 2a–b).
2. Schritt: Akribisches verstärktes Wurzelglätten an allen Wurzelflächen mit Handinstrumenten (Finierküretten) in einer oder einer zweiten zeitlich eng benachbarten Sitzung (bis maximal übernächstem Tag), Zahnfleischverband, z. B. VOCOpac® (Fa. VOCO), und adjuvanter Antibiotikagabe für acht Tage, die nur bei Patienten mit aggressiver Parodontitis aus einer Metronidazolmedikation und sonst aus Clindamycin bestehen sollte.
Ziel des 2-Schritt-Konzeptes ist eine Elimination aller tiefen Zahnfleischtaschen des Mundes („Sondierungstiefenziel“ < 4 mm) und eine Eradikation der wahrscheinlich auch systemisch wirksamen parodontalpathogenen Bakterien, unter anderem Porphyromonas gingivalis.
Methodik zweiter Therapieschritt
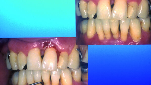
Es sollte wie folgt vorgegangen werden: Nach dem ersten Schritt, der sorgfältigen Entfernung des supraund subgingivalen Zahnsteins einschließlich Motivation des Patienten während etwa drei bis vier jeweils circa einstündigen Sitzungen durch die Dentalhygienikerin, erfolgt mit einem zweiten Schritt die Phase der eigentlichen Taschenelimination. Diese wird als gewebeschonende geschlossene Kürettage mittels Gracey- Finierküretten (z.B. American Eagle) durchgeführt. Die Wurzeloberflächen aller Parodontien des Ober- und Unterkiefers werden in Abhängigkeit von der Sondierungstiefe jeweils fünf- bis 30-mal in einer oder spätestens einer zweiten Sitzung am nächsten Tag geglättet. Mit der stumpfen Kürettenseite erfolgt simultan die schonende Weichgewebskürettage zur Entfernung des entzündlichen Granulationsgewebes (Abb. 3a–c).
Dieser zweite Schritt wird zwingend handinstrumentell durchgeführt, denn durch die maschinenbetriebene Wurzelglättung, einschließlich Wasserkühlung, kommt es zur Störung des Blutkoagulums im kapillären Spalt Zahnfleischtasche/Zahnwurzel. Da ein gut organisiertes Blutkoagulum die Basis für jeden Wundheilungsvorgang ist, wird nur so auch das Reattachment und somit der „Taschenverschluss“ gefördert. Zutritt von Wasser bzw. Speichel stört das Koagulum im Taschenspalt und fördert die innere epitheliale Ausscheidung der Zahnfleischtasche. Um die fibrinolytische Aktivität des Speichels zu minimieren, werden alle Patienten nach dem zweiten Schritt im Oberund Unterkiefer mit einem Wundverband (VOCOpac®) versorgt. Die adjuvante Antibiose erfolgt bei schwerer chronischer Parodontitis mit 2 x 600 mg Clinda-saar® für acht Tage und bei aggressiver Parodontitis mit Metronidazol 2 x 500 mg Vagimid für acht Tage. Die Kontrolluntersuchungen werden im ersten Halbjahr alle vier Wochen, danach alle zwölf Wochen und vom 24. bis zum 48. Monat halbjährlich durchgeführt. Röntgenologische Kontrollaufnahmen sollten nach und 48 Monaten erfolgen (Abb. 4 a–b).
Fazit
Angesichts der Vielzahl subgingivaler Bereiche, die das entsprechende parodontopathogene Potenzial tragen können, ist es ohne ein striktes Therapiekonzept fast unmöglich, eine bakterielle Eradikation der anaeroben parodontalpathogenen Spezies zu erreichen, berücksichtigt man speziell, dass bei einer Sechs-Punkt-Messung pro Zahn bei 28 Zähnen 168 Stellen mechanisch exakt und möglichst gleichzeitig kontrolliert werden müssen, um alle pathogenen Bakterien zu beseitigen. Die von uns angewendete Therapiekonzeption ermöglicht nach dem ersten Hygieneschritt mit dem zweiten (Haupt-)Schritt der akribischen Wurzelglättung die mechanische Kontrolle aller Wurzeloberflächen und damit der Biofilmauflagerungen, die anschließend eine antibiotische Behandlung erst sinnvoll erscheinen lässt bzw. rechtfertigt. Diese sollte möglichst bei chronischer Parodontitis mit Clindamycin erfolgen und das antibiotische „Reservemedikament“ Metronidazol ausschließlich den schweren aggressiven Parodontitisfällen vorbehalten bleiben.
Eine Literaturliste hierzu finden Sie unter www.zwp-online.info/fachportal/parodontologie.
OLDENBURG/LEIPZIG – Der Bundesverband der Kinderzahnärzte (BuKiZ), die Deutsche Gesellschaft für Kinderzahnheilkunde (DKG) und der ...
ERLANGEN – Verbessert die Kombination aus Strahlen- und Immuntherapie die Heilungschancen?
Regensburg - Laut einer aktuellen Studie haben COVID-19-Patienten mit Parodontitis ein höheres Risiko für die Aufnahme auf Intensivstation, die ...
WÜRZBURG – Im Rahmen eines Pressegesprächs auf der Jahrestagung der DG PARO erläuterten Vertreter der Fachgesellschaft die Ergebnisse ...
LEIPZIG – Das bekannte indische Gewürz Kurkuma ist nicht nur für das Verfeinern von Speisen hervorragend. Es soll auch bei der ...
FLOSS – Eine Kavitätenpräparation mit dem Laser ist minimalinvasiv und kann mehr Zahnsubstanz erhalten. Wie klinische Forschungen gezeigt ...
LEIPZIG – Implantate sind inzwischen fester Bestandteil des zahnärztlichen Behandlungsspektrums. Der hohen Überlebensrate von Implantaten ...
BONN – Der Einsatz von Antibiotika bei Parodontitis erfolgt aufgrund der bedrohlich ansteigenden bakteriellen Resistenzlage nur bei ausgewählten ...
WASHINGTON DC, USA - Statine, Medikamente zur Regulierung des Fettstoffwechsels, haben offenbar einen positiven Effekt auf parodontale Entzündungen. Zu...
BERLIN - Die Rolle der Parodontologie in Behandlung und Prävention am Beispiel der Wechselwirkungen von Parodontitis und Diabetes mellitus war ...
Live-Webinar
Do. 14. Mai 2026
18:00 Uhr CET (Berlin)
Live-Webinar
Do. 14. Mai 2026
20:00 Uhr CET (Berlin)
Prof. Hani Ounsi DDS PhD FICD
Live-Webinar
Di. 19. Mai 2026
17:00 Uhr CET (Berlin)
Live-Webinar
Di. 19. Mai 2026
19:00 Uhr CET (Berlin)
Prof. Dr. med. dent. Ivo Krejci
Live-Webinar
Mi. 20. Mai 2026
13:00 Uhr CET (Berlin)
Dr. Graham Carmichael BDSc (Hons), DClinDent (Pros), FRACDS, Dr. Robert Gottlander DDS
Live-Webinar
Mi. 20. Mai 2026
15:00 Uhr CET (Berlin)
Live-Webinar
Mi. 20. Mai 2026
17:00 Uhr CET (Berlin)
To post a reply please login or register