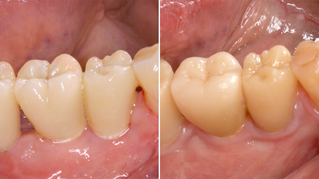
ALTENDORF – Eine Forschungslücke schließt sich: Die erste Langzeitstudie zu zweiteiligen Zahnimplantaten aus Zirkonoxid wurde veröffentlicht. Die unabhängige Studie der Universität Düsseldorf untersuchte über neun Jahre integrierte Implantate der Marke Patent (Zircon Medical Management) im Seitenzahnbereich, der stärkeren okklusalen Belastungen ausgesetzt ist.1 Das Forscherteam um Prof. Dr. Jürgen Becker bestätigt das untersuchte Implantatsystem als vorhersagbare und langfristig erfolgreiche Zahnersatzlösung, da es in der Lage war, die Gesundheit und Stabilität der Hart- und Weichgewebe über einen langen Zeitraum zu erhalten.
Nach neun Jahren Implantatfunktion entwickelte sich an keinem der Implantate eine Periimplantitis, die Weichgewebe waren gesund und stabil (bleeding on probing (BOP) betrug 12,9 % und die maximale Mukosarezession lag bei 1 mm). Die Plaque-Indizes, Taschentiefen und BOP blieben bei den Nachuntersuchungen nach zwei und neun Jahren stabil. Eine hohe Ästhetik wurde durch die klinischen Verbesserungen des Weichgewebes erreicht, die eine Zunahme der keratinisierten Gingiva zwischen dem Ausgangswert und der Nachuntersuchung nach neun Jahren zeigten. Es wurden keine Implantatfrakturen gemeldet.
Bedeutung im Kontext der Studienlage
Bisher hat es keinerlei Langzeitbeobachtungen zu zweiteiligen Zirkonoxidimplantaten gegeben. Die derzeit am Markt erhältlichen Implantatsysteme werden im Allgemeinen immer seltener durch Langzeitstudien untersucht. Die vorhandenen Studien beschränken sich dabei oftmals auf Beobachtungszeiträume von maximal fünf Jahren. Einerseits sind die meisten der bereits wissenschaftlich langzeitgetesteten Systeme gar nicht mehr am Markt. Andererseits schreitet die Einführung neuer Produktlinien derart schnell voran, dass eine wissenschaftliche Auswertung über längere Zeiträume nahezu unmöglich ist.2 Beunruhigend ist dies deshalb, da die Prävalenz biologischer Komplikationen wie Perimukositis und Periimplantitis mit der Zeit zunimmt.3, 4 Eine unkontrollierte Periimplantitis kann zu Infektionen im Mundraum führen, die wiederum das Immunsystem belasten und das Risiko für die Entstehung von anderen Krankheiten erhöhen können.5,6
Fokus auf Langzeitresultate
Marco Waldner, CEO des Patent Herstellers Zircon Medical Management, kommentierte im Rahmen der IDS 2023 in Köln: „Studien haben gezeigt, dass Komplikationen nach Implantationen innerhalb der ersten fünf Jahre häufig auftreten und nach acht Jahren signifikant ansteigen. Aus diesem Grund war es uns wichtig, wissenschaftliche Daten zum klinischen Erfolg des Patent Systems vorweisen zu können, die über diese Zeiträume hinaus gehen, bevor es auf dem breiten Markt angeboten wird. Damit geben wir Behandelnden wie Patienten ein Höchstmaß an Sicherheit über die Langzeitresultate, die sie mit Patent Implantaten erwarten können.“
Die Studie mit dem Titel „Two-piece zirconia implants in the posterior mandible and maxilla: A cohort study with a follow-up period of 9 years” wurde im Dezember 2022 in Clinical Oral Implants Research veröffentlicht.
Weitere Informationen zur Studie auf www.mypatent.com.
Anmerkung der Redaktion:
Eine Liste der Referenzen ist hier erhältlich.
KILCHBERG - Auf Grundlage der derzeit verfügbaren wissenschaftlichen Daten ist der wissenschaftliche Beirat und der Vorstand der ESCI ...
GENF, Schweiz – Im Rahmen des weltweiten Mundhygienetags befragte die FDI World Dental Federation Eltern in der ganzen Welt, wie sie sich um die ...
Sehr geehrte ADDE-Mitglieder und -Unterstützer, das erste Stakeholder-Treffen am 23. Februar in Brüssel war eine großartige Gelegenheit, die...
München – Die Vorteile der elektronischen Patientenakte liegen klar auf der Hand: Schnellere Einsicht in Befunde und Medikationspläne, Abstimmung der ...
Göteborg – Die Ergebnisse einer Langzeitstudie zeigen, dass moderne Implantatsysteme nicht nur eine effektive, sondern auch eine ausgesprochen ...
BERLIN - Die Bundeszahnärztekammer (BZÄK) startete eine Umfrage unter Praxisinhabern, die einen kurzen Online-Fragebogen zur aktuellen Lage der ...
KÖLN – Mit NiTi-Feilen ohne Rückstelleffekt und einer neuen Veneer-Reihe präsentierte Colténe/Whaledent seine Neuheiten auf der ...
Lissabon – Eine neue Ära der Mundgesundheit läutete Dr. Hugo Madeira im Januar in Lissabon mit der Eröffnung der GBT Clinic by Hugo Madeira ein. Die ...
Leipzig – Mit dem MIH-Symposium 2026 startet der ZWP Study Club eine neue Reihe von Online-Symposien, die aktuelle Themen aus der Zahnmedizin ...
Berlin – Die Zahl der Opfer häuslicher Gewalt in Deutschland hat laut den aktuellen Bundeslagebildern von BMI, BMBFSFJ und BKA einen neuen Höchststand ...
WIEN – Für ihren ersten Kongress am 13. und 14. Februar hat die European Aligner Society viele der angesehensten Experten aus dem Bereich der ...
Dr. Bruce McFarlane Certified Specialist in Orthodontics Fellow: Royal College of Dentists of Canada Diplomate: American Board of Orthodontics
Live-Webinar
Mi. 15. April 2026
14:00 Uhr CET (Berlin)
Live-Webinar
Mi. 15. April 2026
20:00 Uhr CET (Berlin)
Live-Webinar
Do. 16. April 2026
2:00 Uhr CET (Berlin)
Linda Hecker MS, BSDH, RDH
Live-Webinar
Do. 16. April 2026
18:00 Uhr CET (Berlin)
Dr. Pär-Olov Östman, Dr. Robert Gottlander DDS
Live-Webinar
Fr. 17. April 2026
14:00 Uhr CET (Berlin)
Live-Webinar
Fr. 17. April 2026
18:00 Uhr CET (Berlin)
To post a reply please login or register