Search Dental Tribune

Artikel

Filter

Konjunktur auf der Rehastation

KÖLN – Die Deutsche Dental-Industrie konnte ihre Stellung auf den Weltmärkten behaupten, wie der der Verband der Deutschen Dental-Industrie ...

Speichern

Ästhetik-Kurs am Tegernsee

GMÜND AM TEGERNSEE/LEIPZIG – Das Unternehmen Frank Dental lädt zur Fortbildung „Perfect.Smile“ über Veneers und Lumineers ...

Speichern

Mundgesund trotz Handicap und hohem Alter

KÖLN/BERLIN - Pflegebedürftige und Menschen mit Behinderungen sollen zukünftig Anspruch auf besondere präventive zahnmedizinische ...

Speichern

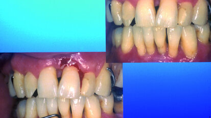
Seminar zu Periimplantitis

DARMSTADT - Parodontitis ist seit Jahrzehnten ein gewohntes Bild in der zahnmedizinischen Praxis – und heute Ursache Nummer Eins für den ...

Speichern

Festzuschuss-Richtlinie wird geändert

BERLIN/KÖLN - Der Gemeinsame Bundesausschuss (G-BA) hat eine Erweiterung der Regelversorgung mit festsitzendem Zahnersatz beschlossen. Ein Anspruch des...

Speichern

Höchste Reinheit für optimale Wirksamkeit

Besonders in der Milchzahn-Endodontie hat sich Calciumhydroxidhochdispers bewährt.

Speichern
advertisement

Weiches resinbasiertes Obturationsmaterial

Das BioRaCe Fill System steht für eine verbesserte dauerhafte Wurzelkanalfüllung.

Speichern

Gesichtsschutzsystem wird zwanzig

MEZZO VICO – Das Unternehmen Polydentia SA feiert den zwanzigsten Geburtstag von Vista-Tec, seinem federleichten Gesichtsschutzsystem.

Speichern

Sportunfälle: Prävention im Fokus

BREMEN – Kopf- und Gesichtsverletzungen durch Sportunfälle nehmen einen immer höheren Stellenwert in der Arbeit des ...

Speichern

Preis für „Mundmedizin im Alter“

KONSTANZ — Einen wichtigen Beitrag zum besseren Verständnis der Problematik „Zahnmedizin und demographischer Wandel“ liefert das ...

Speichern

Mutmacher der Nation

RADOLFSZELL - Gerhard Daiger, Inhaber der Dr. Walser Dental, wurde als „Mutmacher der Nation“ bei Deutschlands erfolgreichster gleichnamiger ...

Speichern

31. Sportweltspiele der Medizin und Gesundheit

FRANKFURT/MAIN - Die schöne Stadt Porec steht als Gastgeber der diesjährigen internationalen Sportveranstaltung "Sportweltspiele der Medizin ...

Speichern
advertisement

„Dental 2010“: 3 Tage Messeerlebnis

BASEL – Mit rund 9.000 Eintritten wurden die hohen Erwartungen der „Dental 2010“, die vom 27. bis 29. Mai in der Messe Basel stattgefunden...

Speichern

Gehirn kann Zahnschmerz kaum lokalisieren

ERLANGEN/LEIPZIG – Eine internationale Forschungsstudie untersucht die zentrale Verarbeitung von Zahnschmerz.

Speichern

Höchste Reinheit für optimale Wirksamkeit

Calciumhydroxid-hochdispers ist eine wasserhaltige Paste, die nach einem Humanchemie eigenen Herstellungsverfahren aus reinstem Calcit hergestellt wird.

Speichern

Weiches resinbasiertes Obturationsmaterial

Mit dem BioRaCe Fill Obturatorsystem von FKG Dentaire lassen sich nachweislich Obturatoren produzieren, die erheblich besser gegen Leakagen schützen ...

Speichern
advertisement

Auffüllen, Liften, Feuchtigkeit spenden

TEOSYAL ist ein Komplettsortiment zur Faltenunterspritzung auf hundertprozentiger Hyaluronsäurebasis.

Speichern

Zahnärzte wollen neuen Warnhinweis

KÖLN - Die Kassenzahnärztliche Bundesvereinigung (KZBV) fordert die Aufnahme eines Warnhinweises auf Zigaretten- und Tabakpackungen, der auf das ...

Speichern

Gemeinschaftskongress 2010: Kieferorthopäden – Kinderzahnärzte

BERLIN - Nach einem ersten Zusammentreffen von Kieferorthopäden (BDK, IKG*) und Kinderzahnärzten (DGK, BuKiZ**) im vergangenen Frühjahr in ...

Speichern

Sanfter Schutz für die Zähne

Remin Pro beugt Hypersensitivitäten und Erosion vor.

Speichern
advertisement

Präzise Zahnsteinentfernung mit Ultraschall und Licht

Die P5 Newtron-Ultraschallgeneratoren ermöglichen eine ausgezeichnete Sicht und bieten noch mehr Leistung.

Speichern

Kunden schätzen Mehrwert

OBERURSEL - Vor rund einem Jahr hat IMTEC, a 3M Company, seine Homepage www.imtec-europe.de gelaunched. Heute erfreut sie sich eines regen Besucherverkehrs,...

Speichern
advertisement

Versteinerter Zahnschmelz als Thermometer

BONN – Kann man die Körpertemperatur von Tierarten bestimmen, die seit Jahrtausenden ausgestorben sind? Wissenschaftler der Uni Bonn sowie der ...

Speichern

„Hohn für Bürokratieabbau“

MÜNCHEN - Auf massive Kritik der Kassenzahnärztlichen Vereinigung Bayerns (KZVB) stoßen die Pläne des Gemeinsamen Bundesausschusses ...

Speichern

Die 2-Schritt-Therapie bei schwerer Parodontitis

Die Kombination mechanischer und antibiotischer Maßnahmen bietet ein Konzept mit stabilen Langzeitergebnissen. Parodontalpathogene Bakterien sind in ...

Speichern
advertisement

Einzigartige Ausstellung „MenschMikrobe“

BERLIN/BONN - Unter dem Titel „MenschMikrobe – Das Erbe Robert Kochs und die moderne Infektionsforschung“ starten die Deutsche ...

Speichern

Erfolgreich Implantieren beginnt beim Extrahieren

Schonende Zahnentfernung mit „Original Luxatoren”.

Speichern

Tipp für die Prophylaxe zwischendurch

Prophylaxe-Bedürfnis soll mit Zahnpflegekaugummi unterstützt werden.

Speichern

Langzeitremineralisation: Einfach und sicher

Starke Tiefenfluoridierung durch zweiphasige Zahntouchierung.

Speichern
advertisement