Laut den Zahnärzten Prof. Dr. Thomas Attin und Dr. Uwe Blunck scheint sich die Anzahl an Patientinnen und Patienten, die einen erosiv-bedingten Zahnhartsubstanzverlust aufweisen, in den letzten zehn bis 20 Jahren deutlich erhöht zu haben. In einem gemeinsamen Webinar, das am 12. November live und kostenfrei im Internet übertragen wird, nehmen die beiden Referenten moderne Methoden zur Bisshebung durch direkte Adhäsivtechnik genauer unter die Lupe. In Vorbereitung auf das Online-Seminar, beantworteten Attin und Blunck im Interview mit Dental Tribune International ein paar Fragen zum Thema.
Prof. Dr. Attin und Dr. Blunk, was sind aktuell die größten Verursacher von Abnutzungserscheinungen wie Erosionen und Abrasionen und einer daraus resultierenden Absenkung des Bisses? Und wie können die Effekte verhindert bzw. abgemildert werden, um ein solches Geschehen zu vermeiden? Attin: Erosionen werden durch Magensäure (bei Erbrechen oder Reflux) sowie von außen durch säurehaltige, an Kalzium-Phosphat untersättigte Nahrungsmittel, wie z.B. Erfrischungsgetränke, Energydrinks, saure Früchte oder Ähnlichem ausgelöst. Abrasionen werden vor allem durch Zähneknirschen (oft durch Stress ausgelöst), also Bruxismus, hervorgerufen.
Ein wirklich effektiver Schutz vor Erosionen ist eigentlich nur, die Frequenz der Säureangriffe zu reduzieren oder z.B. auf Getränke zurückzugreifen, die keine oder nur wenig Säure enthalten. Wenn eine Patientin oder ein Patient unter Bruxismus leidet, können nächtlich getragene Aufbissschienen die Zähne vor Abrasionen schützen. Zudem sollten die hauptsächlichen Ursachen des Zähneknirschens, also die Stressbelastung, reduziert bzw. therapiert werden.
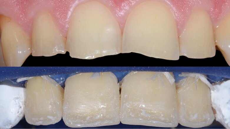
Was hat Sie dazu inspiriert, sich diesem Thema zu widmen und wie lange arbeiten Sie schon mit Ihren modernen Methoden zur Bisshebung? Blunck: Die Anzahl an Patientinnen und Patienten, die erosiv-bedingten Zahnhartsubstanzverlust aufweisen, scheint sich in den letzten zehn bis zwanzig Jahren deutlich erhöht zu haben. Wir arbeiten seit Langem an Präventionsmaßnahmen gegen Erosionen und haben dann gleichzeitig versucht, die angegriffenen Zähne durch Restaurationen wieder aufzubauen.
Klassischerweise geschah dies durch indirekte Arbeiten wie Kronen, Table-Tops oder Veneers. Diese indirekten Arbeiten sind oftmals sehr teuer, wobei es zu bedenken gilt, dass häufig alle Zähne im Ober- und Unterkiefer therapiert werden müssen. Als (kostengünstige) Alternative dazu haben wir gemeinsam mit unseren Arbeitsgruppen in Berlin und Zürich die im Webinar dargestellte Herangehensweise mit direkten, adhäsiv-verankerten Kompositfüllungen entwickelt. Zurzeit liegen dazu Langzeitstudien vor, die über einen Zeitraum von mehr als 11 Jahren gezeigt haben, dass diese Technik mit hohem Erfolg eingesetzt werden kann.
Was sind für Patientinnen und Patienten die größten Probleme bei einem erosiv-geschädigtem Gebiss? Attin: Diese Patientinnen und Patienten klagen häufig über schmerzempfindliche, hypersensible Zähne. Zudem führen die Erosionen häufig dazu, dass auch im Frontzahngebiet die Zähne eine große Abnutzung zeigen. Dadurch ergibt sich vielmals eine von der Ästhetik eingeschränkte Situation, welche die Patientinnen und Patienten gerne korrigiert haben möchten.
Was sind die drei Hauptlernziele, die die Zuschauerinnen und Zuschauer aus Ihrem Webinar mitnehmen sollen? Blunck: Den Zuschauerinnen und Zuschauern soll ein praxistaugliches Verfahren zur Wiederherstellung eines Erosions- oder Abrasionsgebisses vermittelt werden. Dazu werden neben der praktischen Umsetzung auch die theoretischen Grundlagen zur effektiven Haftung an den Zahnhartsubstanzen und an gegebenenfalls vorhandenen Restaurationen dargestellt. Im Zusammenspiel einer wirksamen Vorbehandlung der verschiedenen Substratoberflächen, dem Einsatz der adäquaten Materialien und deren korrekte Verarbeitung stellt die Bisshebung mit direkter Adhäsivtechnik eine valide Alternative zur Herangehensweise mit indirekten Arbeiten dar.
Im Rahmen des Webinars „Bisshebung mit direkter Adhäsivtechnik“, das am 12. November ab 14 Uhr live im Internet übertragen wird, geben Prof. Dr. Thomas Attin und Dr. Uwe Blunck einen Einblick in das Thema und werden unter anderem auch Fallbeispiele durchsprechen. Alle Teilnehmenden haben die Möglichkeit, während der Übertragung per Chat Fragen an die Referenten zu stellen und sich im Anschluss durch das Beantworten eines Online-Fragebogens 1,5 Fortbildungspunkte zu sichern. Registrieren Sie sich jetzt hier kostenfrei für das Tokuyama Dental-Webinar.
Die direkte Seitenzahnrestauration ist die am häufigsten durchgeführte Therapie in der Zahnarztpraxis. Wird die Entscheidung patientenzentriert gefällt, ...
LEIPZIG - Einen Blick hinter die Kulissen von Bonding-Systemen wirft Referentin Dr. rer. nat. Mara Johann im Rahmen eines DT Study Club-Webinars. Der ...
In drei kostenfreien, aufeinander aufbauenden Webinaren erfahren Teilnehmer alles rund um das Thema Implantation mithilfe der ACTEON Imaging Suite (AIS) ...
Göteborg – Snus steht in Zusammenhang mit Schäden am Zahnfleisch. Beim Thema Karies bleibt die Datenlage dagegen uneinheitlich. Und für neue tabakfreie...
Berlin – In der 6. Deutschen Mundgesundheitsstudie (DMS • 6) wurden erstmals Längsschnittanalysen vorgenommen. Dazu wurden Studienteilnehmende aus der ...
Schaan – Im Rahmen des ersten Ivoclar Media Connect besuchten Medienvertreterinnen und -vertreter den neuen Ivoclar-Campus am Hauptsitz des Unternehmens ...
To post a reply please login or register