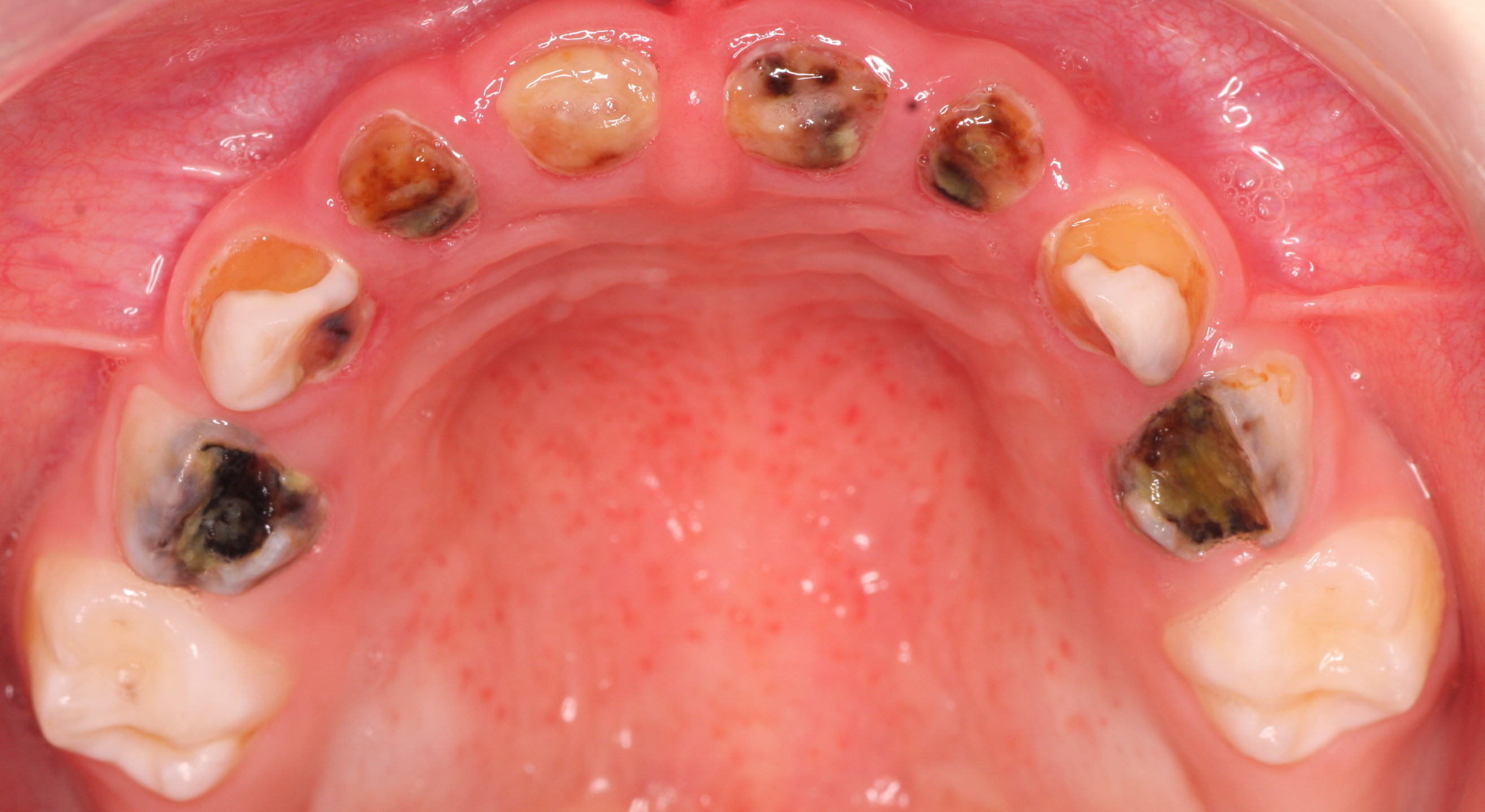
Trotz der insgesamt positiven Entwicklung der Mundgesundheit bei Kindern und Jugendlichen in Deutschland ist die Milchzahnkaries noch immer weit verbreitet. Insbesondere die frühkindliche Karies stellt mit einer Häufigkeit von ca. 14 Prozent bei den Dreijährigen ein erhebliches Gesundheitsproblem dar. In einem gemeinsamen Webinar, das am 14. Oktober live und kostenfrei im Internet übertragen wird, beleuchten Prof. Dr. Katrin Bekes und Daniel Grotzer die Frage, wie die Mundgesundheit der Kleinsten verbessert werden kann. In Vorbereitung auf das Online-Seminar, beantwortete Referentin Bekes im Interview mit Dental Tribune International ein paar Fragen zum Thema.
Prof. Dr. Bekes, was sind Ihrer Erfahrung nach die größten Faktoren, warum Milchzahnkaries noch immer ein weitverbreitetes Problem in Deutschland darstellt? Wie jede andere Kariesform ist auch die Milchzahnkaries ein multifaktoriell bedingter Prozess und als Folge eines zeitlich bestimmten Zusammenspiels von kariogenen Mikroorganismen mit vergärbaren Kohlenhydraten auf der Zahnoberfläche zu verstehen. Die Hauptursache für die Entwicklung solcher kariösen Prozesse im frühen Kindesalter liegt in einer häufigen Aufnahme zucker- und säurehaltiger Getränke und Nahrungsmittel. Die Gabe der Flasche erfolgt oft nicht nur aufgrund von Durst oder Hunger, sondern aus Langeweile und Unlust in den Ermüdungsphasen, als Einschlafhilfe, in nächtlichen Wachphasen oder zur Zwischenmahlzeit. Begünstigt wird der Prozess durch eine unzureichende Entfernung des Biofilms auf der Zahnoberfläche.
Wie plant die Deutsche Gesellschaft für Kinderzahnheilkunde (DGKiZ) die Situation zu verbessern? Die DGKiZ ist als wissenschaftliche Fachgesellschaft zunächst einmal der Ansprechpartner für alle, die diese Situation verbessern wollen. Ihr Ziel ist die Verbesserung der zahnärztlichen Prophylaxe und Behandlung bei Kindern von Geburt an und die kontinuierlich hohe wissenschaftliche Aktualität durch enge Zusammenarbeit mit anderen
(inter-)nationalen Fachgesellschaften. Im Rahmen eines Initiativprojektes mit Oral-B unter dem Motto „Starke Zähne für starke Kinder – von Anfang an, ein Leben lang!“ hat die Fachgesellschaft Materialien entwickelt, mit denen sie die Eltern und Zahnarztpraxen bei der Bekämpfung der Erkrankung unterstützen möchte.
Dazu zählt eine Aufklärungsbroschüre, die den Eltern als Ratgeber dienen soll und Empfehlungen zum richtigen Zähneputzen, fluoridhaltigen Zahncremes und ihrer Dosierung sowie zu einer altersgerechten, zahngesunden Ernährung gibt. Die Praxismaterialien bestehen aus einem Anamnesebogen (Ernährungs-, Mundhygiene- und Fluoridanamnese) und einer Kurzübersicht über das Basiswissen der Kinderzahnheilkunde für den Behandler sowie Tipps für die Eltern. Die DGKiZ und Oral-B hoffen mit dem Projekt dazu beizutragen, die Mundgesundheit von Kleinkindern weiter zu verbessern und somit das Auftreten der frühkindlichen Karies weiter zu reduzieren.
Was sind die Hauptlernziele, die die Zuschauer:innen aus Ihrem Webinar mitnehmen sollen? Die Teilnehmer:innen sollten fähig sein eine frühkindliche Karies zu diagnostizieren, deren Risikofaktoren zu kennen, Präventionskonzepte zu beschreiben und die verschiedenen Behandlungsmöglichkeiten der frühkindlichen Karies zu benennen.
Im Rahmen des Webinars „Starke Zähne für starke Kinder – Wie können wir die Mundgesundheit der Kleinsten verbessern?“, das am 14. Oktober, ab 17 Uhr live im Internet übertragen wird, geben Prof. Dr. Katrin Bekes und Daniel Grotzer, Senior Manager Professional and Scientific Relations DACH, einen Einblick in das klinische Bild und die Ätiologie der frühkindlichen Karies, sowie unterstützende Tipps hinsichtlich der Aufklärung und Beratung von Eltern mit ihren Kindern ab dem ersten Praxistermin. Alle Teilnehmer:innen haben die Möglichkeit, während der Übertragung per Chat Fragen an die Referentin zu stellen und sich im Anschluss durch das Beantworten eines Online-Fragebogens einen Fortbildungspunkt zu sichern. Registrieren Sie sich jetzt hier kostenfrei für das Oral-B-Webinar.
PHILADELPHIA, USA – Die Infektion mit dem Bakterium Streptococcus mutans ist eine der Ursachen für frühkindliche Karies, auch Early Childhood Caries ...
BIRMINGHAM, USA – Amerikanischen Forschern ist es gelungen, ein Molekül zu synthetisieren, das Kariesbakterien daran hindert, hartnäckige Plaque zu ...
BELFAST, Nordirland – Aspirin soll in Zukunft auch als Therapeutikum bei Karies einsetzbar sein. Das ist das Ergebnis einer Studie von Wissenschaftlern ...
Göteborg – Snus steht in Zusammenhang mit Schäden am Zahnfleisch. Beim Thema Karies bleibt die Datenlage dagegen uneinheitlich. Und für neue tabakfreie...
Berlin – In der 6. Deutschen Mundgesundheitsstudie (DMS • 6) wurden erstmals Längsschnittanalysen vorgenommen. Dazu wurden Studienteilnehmende aus der ...
Schaan – Im Rahmen des ersten Ivoclar Media Connect besuchten Medienvertreterinnen und -vertreter den neuen Ivoclar-Campus am Hauptsitz des Unternehmens ...
To post a reply please login or register