Search Dental Tribune

Artikel

Filter

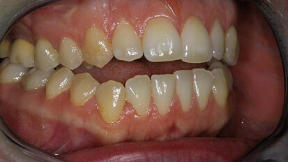
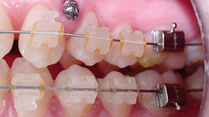
Parodontologisch-kieferorthopädische Behandlung Erwachsener

KIEL - Waren die kieferorthopädischen Behandlungstechniken in früheren Zeiten im Wesentlichen auf die Prophylaxe und Korrektur von Fehlstellungen ...

Speichern

Verband befragt Zahnärzte

BERGISCH GLADBACH – Der Deutsche Zahnärzte Verband (DZV) ruft deutschlandweit alle Zahnmediziner dazu auf, an einer Online-Umfrage zum Thema ...

Speichern

Deutsche Dentalindustrie zieht gemischte Bilanz

KÖLN/LEIPZIG - Die deutsche Dentalindustrie hat zuletzt auf dem Heimatmarkt ein Umsatzplus erzielt, musste wegen der Wirtschaftskrise jedoch auf dem ...

Speichern

Überblick über innovative Entwicklungen

DAVOS/BERLIN - Neue wissenschaftliche Erkenntnisse und Behandlungskonzepte stehen im Zentrum des 43. Davoser Fortbildungskongresses, der vom 6. bis 11. ...

Speichern

Stevia könnte als Nahrungsmittel zugelassen werden

HAMM – Nach zähem Ringen könnte das Süßungsmittel Stevia im Laufe des Jahres 2011 in Europa als Lebensmittel zugelassen werden ...

Speichern

Hamburger Zahnmobil ausgezeichnet

BERLIN/HAMBURG – Der Verein „Deutschland – Land der Ideen“ verlieh der rollenden Praxis des Caritasverbandes den Titel ...

Speichern
advertisement

Eiweiße für Selbstheilung des Zahnschmelzes verantwortlich

ERLANGEN – Forscher der Universität Erlangen-Nürnberg haben auf molekularer Ebene untersucht, wie Zahnschmelz seine Verformungen von allein ...

Speichern

Bei Kassenzulassung in Niedersachsen manipuliert?

HANNOVER – Einem ehemaligen leitenden Mitarbeiter der Kassenzahnärztlichen Vereinigung Niedersachsens (KZVN) wird Betrug und Bestechung in zwei ...

Speichern

Spende für Kinderprojekt

BENSHEIM – Mitarbeiter und Geschäftsführer des Unternehmens Sirona spendeten über 8.000 Euro an eine Elterninitiative, die sich ...

Speichern

Kaum noch Angst vor dem Zahnarzt

BAIERBRUNN BEI MÜNCHEN – Nur noch wenige Menschen haben Angst vor dem Zahnarztbesuch, wie die „Apotheken Umschau“ berichtet.

Speichern

Die Rolle des Geschlechts bei prämalignen Erkrankungen der Mundschleimhaut

BERLIN - Der kleine Unterschied bei Männern und Frauen – betrifft er auch die Mundschleimhaut? Vordergründig erscheinen Krebserkrankungen im...

Speichern

Prothetisch-ästhetische Rehabilitation bei LKG-Spalte im Erwachsenenalter

RAVENSBURG - Angeborene Fehlbildungen der Mundregion wie z.B. die Lippen-Kiefer-Gaumenspalte sind für den MKG-Chirurgen bei der Versorgung mit ...

Speichern
advertisement

Fibrome in der zahnärztlichen Chirurgie – mit dem Laser einen Schnitt voraus

ZÜRICH - Bereits 1964 wurden chirurgische Indikationen mittels monochromatischen gebündeltem und vor allem kohärentem Licht (Laser) in den ...

Speichern

10. Unnaer Implantologietage

UNNA/LEIPZIG – Am 21. und 22. Februar 2011 erwartet die Gäste der Veranstaltung über Implantologie eine Symbiose aus universitärem ...

Speichern

Einsatz eines beschlagfreien Intraoralspiegelsystems

FREIBURG - Die zahnärztliche Fotografie ist heute fester Bestandteil einer vollständigen Behandlungsdokumentation. Durch die Umstellung von analog...

Speichern

Tagung zur „Aligner Orthodontie“

KÖLN – Der 1. Wissenschaftliche Kongress für Aligner Orthodontie zählte 320 Gäste und 32 internationale Referenten.

Speichern
advertisement

„MenschMikrobe“ wandert weiter

BERLIN – Die von der Deutschen Forschungsgemeinschaft (DFG) und dem Robert Koch-Institut (RKI) initiierte Wanderausstellung "MenschMikrobe - Das ...

Speichern

Umfrage bestätigt: Patientenrechtegesetz ist erforderlich

GÜTERSLOH/LEIPZIG – Kann ich von meinem Arzt die Herausgabe meiner Karteiunterlagen verlangen? Muss er mir die komplette Wahrheit über ...

Speichern

Statistisches Jahrbuch erschienen

BERLIN – Der Pro-Kopf-Verbrauch von Zahnpasta, Zahnbürsten und Zahnseide ist in den letzten Jahren kontinuierlich gestiegen. Rückläufig...

Speichern

Problemmanagement in der Endodontie

Die letzten beiden Dekaden haben zu revolutionären Umwälzungen in der Endodontie geführt, die dem Zahnarzt sichere Prognosen in der ...

Speichern
advertisement

Gemeinsames Kursprogramm begonnen

SCHAAN – Ivoclar Vivadent und Nobel Biocare haben den ersten gemeinsamen Anwenderkurs zum Thema „Ivoclar Vivadent-Materialien und ...

Speichern

Tumor durch Papillomavirus: Gute Heilungschancen

SYDNEY/LEIPZIG - Menschen, die an bestimmten Kopf-Hals-Tumorerkrankungen leiden, haben bessere Chancen auf Heilung, wenn die Krankheit durch das humane ...

Speichern
advertisement

Gründer verlässt medentex

BIELEFELD – Der Gründer und Geschäftsführer der medentex GmbH, Andreas Krumme, verlässt das Unternehmen.

Speichern

Ästhetik als „Abfallprodukt“? Die Geschichte einer schmerzhaften Odyssee.

MANNHEIM - Patienten, die unter craniomandibulärer Dysfunktion leiden, haben oft einen hohen Leidensdruck funktioneller Art, ästhetische ...

Speichern

Verbände votieren gegen Öffnungsklausel

BERLIN – Patientenvertreter, Ärzte- und Zahnärzteschaft lehnen die von der Privaten Krankenversicherung geforderte so genannte ...

Speichern

Endo-Symposium lädt nach Nürnberg ein

NÜRNBERG – In Nürnberg findet am 28. und 29. Januar 2011 erstmals europaweit das „Penn Endo Global Symposium“ der ...

Speichern
advertisement

IDS-Veranstalter erwartet Rekordmesse

KÖLN – Besucher der Internationalen Dental-Schau (IDS) dürfen gespannt sein: Im kommenden Jahr präsentieren sich noch mehr Aussteller ...

Speichern

Bundeszahnärztekammer ruft zu Spenden für Haiti auf

BERLIN/LEIPZIG – Das große Medieninteresse ist vorüber, doch im Inselstaat Haiti ist die Lage der durch das Erdbeben obdachlos gewordenen ...

Speichern

Rundum-Pflegepaket

Um raue Implantatoberflächen und schwer zugängliche Bereiche reinigen zu können, bedarf es spezieller Pflege. Das TePe Implant Kit bietet ...

Speichern

Hightech-Keramik für Zahnersatz mit Innovationen

Immer mehr Menschen erhalten im Laufe ihres Lebens künstlichen Zahnersatz. Die aufgeklärten Patienten von heute sind jedoch materialbewusster und ...

Speichern
advertisement
advertisement