Search Dental Tribune

Artikel

Filter

Neuer CEO ernannt

ZÜRICH – Richard Laube ist vom Verwaltungsrat von Nobel Biocare zum neuen Chief Executive Officer (CEO) ernannt worden. Laube wird am 1. April ...

Speichern

Ungewöhnlichste Zahnpasta hat radioaktive Inhaltsstoffe

SAGINAW/LEIPZIG - Zahnarzt Dr. Val Kolpakov aus Michigan hat ein seltenes Hobby: Er sammelt Zahnpasta. Kolpakov berichtete Yvonne Bachmann vom Ursprung ...

Speichern

Fortbildung zur ganzheitlichen Zahnheilkunde

NÜRNBERG/MANNHEIM – Ein Interdisziplinäres Curriculum zur ganzheitlichen Zahnheilkunde startet am 26. und 27. März in Nürnberg. ...

Speichern

Bund verbietet Bisphenol A in Babyflaschen

BERLIN – Ab dem 1. März diesen Jahres dürfen in Deutschland keine Babyflaschen, die Bisphenol A (BPA) enthalten, produziert werden.

Speichern

20.000 Euro an Hilfsorganisation

BIETIGHEIM-BISSINGEN – Die Hilfsorganisation Mercy Ships bereist auf Schiffen Länder, in denen Menschen medizinische Behandlung verwehrt bleibt. ...

Speichern

Erwartung bestimmt Handeln

FREIBURG - „Für Sie mag das Alltag sein, für mich ist der heutige Termin etwas ganz besonderes.“ Diese Aussage einer Patientin hallte ...

Speichern
advertisement

LED als alternative Behandlungsmethode zum Laser?

MARL - Auch wenn neue Verfahren für die Praxen sicheren Mehrwert hervorbringen können – stets sollten Aufwand und Nutzen gegeneinander ...

Speichern

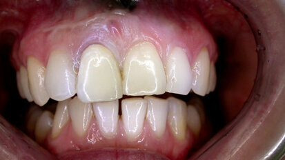
Der lange Weg zur Frontzahnästhetik

MÖNCHENGLADBACH - Wohl keine Restauration stellt an den Behandler größere Ansprüche als beim Einzelzahnersatz mittels implantologischer...

Speichern

Tarifabschluss für Zahnmedizinische Fachangestellte

DORTMUND – Ab 1. April 2011 steigen die Tarifgehälter für Zahnmedizinische Fachangestellte in Hamburg, Hessen und Westfalen-Lippe in den ...

Speichern

Rahmenprogramm verspricht viel

KÖLN – Neben den rund 1.900 Ausstellern aus 57 Ländern bietet das Rahmenprogramm auf der Internationalen Dental-Schau (IDS) Vorträge zu...

Speichern

Medienecho auf GOZ-Forderungen

BERLIN/LEIPZIG – Die Bild-Zeitung schrieb Anfang der Woche über „gierige Zahnärzte“, die eine Reformierung der ...

Speichern

4. Zahngipfel lädt ins Allgäu ein

KEMPTEN/LEIPZIG - Auf dem Vollkeramik-Symposium in Kempten stellen Spezialisten neue Techniken und Materialien vor, die ein Umdenken im Therapiekonzept ...

Speichern
advertisement

Gründerpreis Medizinwirtschaft vergeben

WITTEN – Eine Doktorandin der Zahnmedizin entwickelte ein neues Verfahren für die Reinigung der Interdentalräume und wurde dafür mit ...

Speichern

Über 600.000 Tote durch Passivrauchen

BERLIN – Zum Weltkrebstag am 4. Februar sollte auch an die Betroffenen des Passivrauchens gedacht werden. In der ersten umfassenden Studie zum ...

Speichern

Beste Prothetik-Dissertation gesucht

MARBURG – Das Kuratorium perfekter Zahnersatz vergibt seit 19 Jahren seinen Dissertationspreis und sucht auch in diesem Jahr die beste Doktorarbeit ...

Speichern

Fusionierte Unternehmen präsentieren eigene Marke

LEUTKIRCH – Die im vergangenen Jahr zusammengeschlossenen Firmen SciCan, SycoTec und Micro-Mega treten zukünftig als „Sanavis Group“ ...

Speichern
advertisement

Empfang im Zeichen der GOZ-Novellierung

BERLIN - Zum traditionellen Neujahrsempfang von Bundeszahnärztekammer (BZÄK) und Kassenzahnärztlicher Bundesvereinigung (KZBV) trafen sich am...

Speichern

Durchbruch bei der Erforschung der Plaque

GRONINGEN – Forscher der Universität Groningen analysierten Glycosyltransferase vom „lactic acid bacterium Lactobacillus reuteri“, ...

Speichern

Greifswalder Professor mit Ewald-Harndt-Medaille geehrt

BERLIN/LEIPZIG – Seit 2001 wird die Auszeichnung von der Zahnärztekammer (KZV) Berlin vergeben. In diesem Jahr freute sich Prof. Dr. Dr. h.c. ...

Speichern

Eine Million Euro für Hilfsprojekte gesammelt

BERLIN - Seit einem Jahr ist die Bundeszahnärztekammer (BZÄK) offizielle Schirmherrin für die Stiftung Hilfswerk Deutscher Zahnärzte ...

Speichern
advertisement

Budgetierung soll abgeschafft werden

BERLIN/LEIPZIG - Die deutschen Zahnärzte können hoffen. Die Unionsfraktion hat sich für die Abschaffung der Budgetierung für die ...

Speichern

All-in-One: Retraktionsfäden mit einem „Klick“

UTRECHT - Mit ShortCut wird eine effiziente Lösung zum Gebrauch von Retraktionsfäden präsentiert.

Speichern
advertisement

Sirona: Top-Unternehmen in USA

NEW YORK – Sirona, Technologieführer der Dentalindustrie, wurde in der jährlich vom Institutional Investor Magazine herausgegebenen ...

Speichern

Forscher entwickeln keimreduzierende Implantate

MAINZ – Wissenschaftler des Max-Planck-Instituts für Polymerforschung (MPI-P) in Mainz entwickeln derzeit Materialien, die das ...

Speichern

iPad hält Einzug in Zahnarztpraxen

CUPERTINO/NEW YORK – Elektronische Neuheiten und Weiterentwicklungen kommen uns nicht nur im Privatleben zugute, sondern können auch beruflich ...

Speichern

Ergebnisse einer Zahnärzteumfrage veröffentlicht

MÜNCHEN – Die Mehrheit der Zahnärzte setzt auf Vorsorge und nicht auf No-Name-Instrumente, wie eine Umfrage des Unternehmens EMS Electro ...

Speichern
advertisement

Nachfrage nach Patientenberatung steigt

FRANKFURT AM MAIN – Rund 100.000 Bürger haben in den vergangenen sechs Jahren die Patientenberatungsstelle der Landeszahnärztekammer Hessen ...

Speichern

Optimierte Mitarbeiterführung durch Qualitätsmanagement

ALLERSHAUSEN - Der Erfolg einer modernen Zahnarztpraxis hängt vor allem vom Praxisteam ab. Der Zahnärztin/dem Zahnarzt wird als Speerspitze des ...

Speichern

CMD-Curriculum in Potsdam

DÜSSELDORF – Zum Thema Craniomandibuläre Dysfunktionen (CMD) bietet die Deutsche Gesellschaft für Zahnärztliche Implantologie ...

Speichern

Signalweg lässt Knochen wachsen

BONN - Ein internationales Forscherteam unter Bonner Beteiligung hat einen biochemischen Signalweg in Knochenzellen identifiziert, der äußere ...

Speichern
advertisement